Trichofolliculoma

Trichofolliculoma
SpecialtyDermatology, oncology Edit this on Wikidata

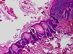
Trichofolliculoma is a cutaneous condition characterized by a benign, highly structured tumor of the pilosebaceous unit.[1][2] Trichofolliculoma is a rare tumor of the eyelid. It can be suspected by the “cotton bag sign”[3]

See also

References

  1. ^ James, William D.; Berger, Timothy G.; et al. (2006). Andrews' Diseases of the Skin: Clinical Dermatology. Saunders Elsevier. ISBN 0-7216-2921-0.
  2. ^ Rapini, Ronald P.; Bolognia, Jean L.; Jorizzo, Joseph L. (2007). Dermatology: 2-Volume Set. St. Louis: Mosby. p. 1694. ISBN 1-4160-2999-0.
  3. ^ Andrés Germán Alza y Ricardo Drut, “Tricofoliculoma palpebral: signo de la bolsa de algodón,” Oftalmología Clínica y Experimental, consulta 19 de enero de 2023, https://oftalmologos.org.ar/oce_anteriores/items/show/124.

Andrés Germán Alza y Ricardo Drut, “Tricofoliculoma palpebral: signo de la bolsa de algodón,” Oftalmología Clínica y Experimental, consulta 19 de enero de 2023, https://oftalmologos.org.ar/oce_anteriores/items/show/124.