Dilated pore

Dilated pore
Other namesDilated pore of Winer
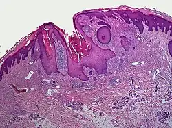
Dilated pore of Winer
SpecialtyDermatology

A dilated pore, also known as a dilated pore of Winer, is a cutaneous condition characterized by a solitary, prominent, open comedo on the face or upper trunk of an individual.[1]: 675  Louis H. Winer is credited with discovering the dilated pore. [2][3]

See also

References

  1. ^ James, William D.; Berger, Timothy G.; et al. (2006). Andrews' Diseases of the Skin: Clinical Dermatology. Saunders Elsevier. ISBN 0-7216-2921-0.
  2. ^ Winer, Louis H (September 1954). "The Dilated Pore, A Trichoepithelioma". Journal of Investigative Dermatology. 23 (3): 181–188. doi:10.1038/jid.1954.97. PMID 13201810.
  3. ^ Al Aboud, Ahmad; Al Aboud, Khalid (August 5, 2013). "A mini-review on eponyms in the dermatology literature linked to United States of America (USA)". Our Dermatology Online. 3 (Suppl.1): 409–413. doi:10.7241/ourd.20133.103.