Tenosynovial giant cell tumor
| Tenosynovial giant cell tumor | |
|---|---|
| Other names | Localized: Localized pigmented villonodular synovitis (L-PVNS), Giant cell tumor of the tendon sheath (GCT-TS), Nodular tenosynovitis, Localized nodular tenosynovitis, and L-TGCT Diffuse: Pigmented villonodular synovitis (PVNS), Conventional PVNS, and D-TGCT |
![]() | |
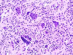
| Micrograph of diffuse TGCT, also known as pigmented villonodular synovitis. H&E stain. | |
| Specialty | Oncology |
| Symptoms | Swelling, pain, stiffness, sensitivity, and/or limited range of motion |
| Complications | Osteoarthritis |
| Usual onset | Most patients are diagnosed between the age of 30-50. |
| Types | Diffuse and localized |
| Diagnostic method | MRI, biopsy, surgery |
| Differential diagnosis | Fibromas, Baker’s cyst, tophaceous gout, synovial sarcoma, hemangioma, synovial chondromatosis, hemorrhagic synovitis |
| Treatment | Surgery, CSF1R inhibitors |
| Medication | Imatinib, Pexidartinib, Vimseltinib |
Tenosynovial giant cell tumor (TGCT) is a non-malignant tumor defined histologically as inclusions of “osteoclast-like” multinucleated giant cells, hemosiderin, and macrophages.[1] This histology can present one of 2 clinically distinct ways. Localized/nodular TGCT (L-TGCT), sometimes referred to as “giant cell tumor of the tendon sheath”;[2]: 100 is a common tumor that presents as a slow-growing, encapsulated, localized and limited bump, most frequently in the fingers. [3] Diffuse TGCT (D-TGCT) — also called pigmented villonodular synovitis (PVNS)— is a rare tumor that presents as a proliferative, destructive, intra-articular lesion, most commonly in the knee.[2]: 102 [4] D-TGCT tumors often develop from the lining of joints (also known as synovial tissue).[5][2][2]: 100 [6][6]: 245 . Common symptoms of D-TGCT include swelling, pain, stiffness and reduced mobility in the affected joint or limb.[2]: 102
Classification
Classification for TGCT encompasses two subtypes that can be divided according to site – within a joint (intra-articular) or outside of the joint (extra-articular) – and growth pattern (localized or diffuse) of the tumor(s).[2]: 100 [7]: 361 Localized and diffuse subsets of TGCT differ in their prognosis, clinical presentation, and biological behavior, but share a similar manner of disease development.[2]: 100
Localized TGCT
.jpg)
Localized TGCT is sometimes referred to as localized pigmented villonodular synovitis (L-PVNS), giant cell tumor of the tendon sheath (GCT-TS), nodular tenosynovitis, localized nodular tenosynovitis, and L-TGCT.[5]: 1 [2]: 100
The localized form of TGCT is more common.[2]: 100 [6]: 245 Localized TGCT tumors are typically 0.5 cm-4 cm),[2]: 101 develop over years,[2]: 100 are benign and non-destructive to the surrounding tissue, and may reoccur in the affected area.[2]: 101 The most common symptom is painless swelling.[2]: 101 Localized TGCT most often occurs in fingers, but can also occur in other joints.[2][8]
Diffuse TGCT

Diffuse TGCT is sometimes referred to as pigmented villonodular synovitis (PVNS), conventional PVNS, and D-TGCT.[5]: 1 [7]: 361 [9]: 1 [2]: 102
Diffuse TGCT occurs less frequently and is locally aggressive (in some cases, tumors may infiltrate surrounding soft tissue).[6]: 245 [5]: 1 [2]: 102 [9][9]: 1 It most commonly affects people under 40 years old, though the age of occurrence varies.[2]: 102 Diffuse TGCT may occur inside a joint (intra-articular) or outside of a joint (extra-articular). Intra-articular tumors typically occur in the knee (approximately 75% of cases) and hip (approximately 15% of cases).[2]: 102 Extra-articular tumors are usually found in the knee, thigh, and foot.[2]: 101 Symptoms include swelling, pain, sensitivity, and/or limited range of motion.[2]: 102 The rate of reoccurrence is estimated to be 18-46% for intra-articular tumors and 33-50% for extra-articular tumors.[2]: 103 [9]: 1
Complications
Diffuse TGCT is locally aggressive and can spread to surrounding tissues, causing bone erosion and tissue damage. If not treated early, it can spread to areas outside the joint, extra-articular, and potentially cause permanent loss of range as well as intense pain.[10][11]
Mechanism
TGCT tumors grow due to genetic overexpression of colony stimulating factor 1. This causes colony-stimulating factor-1 receptor (CSF1R) cells to accumulate in the joint tissue.[12][13]
Diagnosis
TGCT can be diagnosed by magnetic resonance imaging (MRI), by biopsy, or during surgery.[14][15] The disorder is difficult to identify and is often not diagnosed for years due to nonspecific symptoms or a general paucity of symptoms.[16] TGCT cases are often misdiagnosed as osteoarthritis,[17] localized trauma,[18] sports injuries,[19][20] xanthomas,[21] or other conditions.[22] One study of 122 diffuse TGCT patients found that the average delay in diagnosis was 2.9 years.[23]
To identify or monitor using MRI, the minimum techniques required include T1 weighted images, T2 weighted images, and a fluid sensitive sequence.[24]
Treatment
Patients affected by TGCT should be managed within expert centers or reference networks, by a dedicated, experienced sarcoma multidisciplinary treatment team, including a pathologist, radiologist, orthopaedic surgeon, pain specialist, surgical, radiation and medical oncologists.[24] Patients initially treated at cancer centers have lower recurrence rates than those initially treated by community centers.[23]
Surgery has been the most common form of treatment for both localized[2]: 101 [7]: 361 and diffuse TGCT.[2]: 103 [7]: 361 [9]: 1 After surgery, patients may receive physical therapy in order to help rehabilitate affected joints.[19][11] However, recurrence of TGCT after surgery is common,[17] with a higher rate of recurrence for diffuse TGCT than for localized TGCT.[7]: 361 In cases of recurrent or resistant disease, multiple surgeries, total joint arthroplasties, or amputation may be required.[9]: 1
A multidisciplinary approach, supplementing surgery or other treatments, can also improve outcomes in cases of recurrent TGCT.[25] In the late 2010s, treatment with CSF1R inhibitors emerged as an option[26] that may help improve functionality for patients with recurrent TGCT or TGCT that is not easily managed by surgery.[7]: 361 An oral CSF-1R inhibitor pexidartinib is approved in the US and only available through a Risk Evaluation and Mitigation Strategy (REMS) Program,[27] and two other oral CSF-1R inhibitors, pimicotinib and vimseltinib are being developed in phase 3 trials.[28][29]
There is insufficient and contradictory evidence on radiation therapy, in the form of radiosynoviorthesis (yttrium injections) or external beam, before or after surgery and thus no recommendation for its use in TGCT can be made. [24]
For asymptomatic patients, active surveillance is the preferred method.[30][24] Active surveillance includes monitoring with MRI in intervals (e.g., every 6 months) to ensure the delay in treatment does not pose a potential harm.[24] This should be carefully weighed against the potential for over treatment.
Vimseltinib (Romvimza) was approved for medical use in the United States in February 2025.[31]
Epidemiology
A study conducted in the Netherlands estimated that the worldwide incidence of TGCT is 43 cases per million person-years. The majority – 39 cases per million person-years – were estimated to be localized TGCT; the remaining 4 cases per million person-years were estimated to be diffuse TGCT.[8] TGCT can occur in patients of any age, but people with localized TGCT are typically between 30 and 50 years old,[2]: 100–101 while diffuse TGCT tends to affect people under the age of 40.[2]: 102–103
See also
References
- ^ Choi WS, Lee SK, Kim JY, Kim Y (2024-01-17). "Diffuse-Type Tenosynovial Giant Cell Tumor: What Are the Important Findings on the Initial and Follow-Up MRI?". Cancers (Basel). 16 (2): 402. doi:10.3390/cancers16020402. PMC 10814250. PMID 38254890.
- ^ a b c d e f g h i j k l m n o p q r s t u v w x y Fletcher CD, Bridge J, Hogendoorn P, Mertens F (2013). WHO Classification of Tumours of Soft Tissue and Bone (Fourth ed.). World Health Organization. ISBN 9789283224341. Archived from the original on July 19, 2016.
- ^ Gouin F, Noailles T (2017). "Localized and diffuse forms of tenosynovial giant cell tumor (formerly giant cell tumor of the tendon sheath and pigmented villonodular synovitis)". Orthopaedics & Traumatology, Surgery & Research. 103 (1S): S91 – S97. doi:10.1016/j.otsr.2016.11.002. PMID 28057477. Retrieved 2024-12-18.
- ^ Choi WS, Lee SK, Kim JY, Kim Y (2024). "Diffuse-Type Tenosynovial Giant Cell Tumor: What Are the Important Findings on the Initial and Follow-Up MRI?". Cancers. 16 (2): 402. doi:10.3390/cancers16020402. PMC 10814250. PMID 38254890.
- ^ a b c d Lucas DR (August 2012). "Tenosynovial giant cell tumor: case report and review". Archives of Pathology & Laboratory Medicine. 136 (8): 901–906. doi:10.5858/arpa.2012-0165-CR. PMID 22849738.
- ^ a b c d Rateb K, Hassen BG, Leila A, Faten F, Med Samir D (2017). "Giant cell tumor of soft tissues: A case report of extra-articular diffuse-type giant cell tumor of the quadriceps". International Journal of Surgery Case Reports. 31: 245–249. doi:10.1016/j.ijscr.2016.12.019. PMC 5310176. PMID 28199932.
- ^ a b c d e f Cite error: The named reference
Raviwas invoked but never defined (see the help page). - ^ a b Mastboom MJ, Verspoor FG, Verschoor AJ, Uittenbogaard D, Nemeth B, Mastboom WJ, et al. (TGCT study group) (December 2017). "Higher incidence rates than previously known in tenosynovial giant cell tumors". Acta Orthopaedica. 88 (6): 688–694. doi:10.1080/17453674.2017.1361126. PMC 5694816. PMID 28787222.
- ^ a b c d e f Mastboom MJ, Verspoor FG, Gelderblom H, van de Sande MA (2017). "Limb Amputation after Multiple Treatments of Tenosynovial Giant Cell Tumour: Series of 4 Dutch Cases". Case Reports in Orthopedics. 2017: 7402570. doi:10.1155/2017/7402570. PMC 5506462. PMID 28744388.
- ^ "Clinical Study". The Stone Clinic. Archived from the original (web journal) on 2007-07-01. Retrieved 2007-08-07.
- ^ a b Jabalameli M, Jamshidi K, Radi M, Hadi H, Bagherifard A (2014). "Surgical outcomes of 26 patients with pigmented villonodular synovitis (PVNS) of the knee at a mean follow-up of 4 years: introducing a novel technique". Medical Journal of the Islamic Republic of Iran. 28: 123. PMC 4313448. PMID 25679002.
- ^ West RB, Rubin BP, Miller MA, Subramanian S, Kaygusuz G, Montgomery K, et al. (January 2006). "A landscape effect in tenosynovial giant-cell tumor from activation of CSF1 expression by a translocation in a minority of tumor cells". Proceedings of the National Academy of Sciences of the United States of America. 103 (3): 690–695. Bibcode:2006PNAS..103..690W. doi:10.1073/pnas.0507321103. PMC 1325107. PMID 16407111.
The CSF1 translocations result in overexpression of CSF1. In cases of TGCT and PVNS carrying this translocation, it is present in a minority of the intratumoral cells, leading to CSF1 expression only in these cells, whereas the majority of cells express CSF1R but not CSF1, suggesting a tumor-landscaping effect with aberrant CSF1 expression in the neoplastic cells, leading to the abnormal accumulation of nonneoplastic cells that form a tumorous mass.
- ^ Cupp JS, Miller MA, Montgomery KD, Nielsen TO, O'Connell JX, Huntsman D, et al. (June 2007). "Translocation and expression of CSF1 in pigmented villonodular synovitis, tenosynovial giant cell tumor, rheumatoid arthritis and other reactive synovitides". The American Journal of Surgical Pathology. 31 (6): 970–976. doi:10.1097/PAS.0b013e31802b86f8. PMID 17527089. S2CID 29544370.
As the CSF1 translocation is postulated to play an important role in the biology of PVNS/TGCT, the consistent presence of CSF1 expression in translocation-negative cases implies that other mechanisms can lead to CSF1 up-regulation.
- ^ Akinci O, Akalin Y, İncesu M, Eren A (2011). "Long-term results of surgical treatment of pigmented villonodular synovitis of the knee". Acta Orthopaedica et Traumatologica Turcica. 45 (3): 149–155. doi:10.3944/AOTT.2011.2442. PMID 21765227.
- ^ Verspoor FG, Zee AA, Hannink G, van der Geest IC, Veth RP, Schreuder HW (November 2014). "Long-term follow-up results of primary and recurrent pigmented villonodular synovitis". Rheumatology. 53 (11): 2063–2070. doi:10.1093/rheumatology/keu230. PMID 24917565.
- ^ Frassica FJ, Bhimani MA, McCarthy EF, Wenz J (October 1999). "Pigmented villonodular synovitis of the hip and knee". American Family Physician. 60 (5): 1404–10, discussion 1415. PMID 10524485. Archived from the original on 2011-06-06. Retrieved 2020-08-06.
- ^ a b Lei P, Sun R, Liu H, Zhu J, Wen T, Hu Y (June 2017). "Prognosis of Advanced Tenosynovial Giant Cell Tumor of the Knee Diagnosed During Total Knee Arthroplasty". The Journal of Arthroplasty. 32 (6): 1850–1855. doi:10.1016/j.arth.2016.12.053. PMID 28161138.
- ^ Illian C, Kortmann HR, Künstler HO, Poll LW, Schofer M (December 2009). "Tenosynovial giant cell tumors as accidental findings after episodes of distortion of the ankle: two case reports". Journal of Medical Case Reports. 3: 9331. doi:10.1186/1752-1947-3-9331. PMC 2803852. PMID 20062758.
- ^ a b Hegedus EJ, Theresa K (December 2008). "Postoperative management of pigmented villonodular synovitis in a single subject". The Journal of Orthopaedic and Sports Physical Therapy. 38 (12): 790–797. doi:10.2519/jospt.2008.2934. PMID 19047769.
- ^ Krych A, Odland A, Rose P, Dahm D, Levy B, Wenger D, et al. (April 2014). "Oncologic conditions that simulate common sports injuries". The Journal of the American Academy of Orthopaedic Surgeons. 22 (4): 223–234. doi:10.5435/JAAOS-22-04-223. PMID 24668352. S2CID 37108679.
- ^ Adams EL, Yoder EM, Kasdan ML (2012). "Giant cell tumor of the tendon sheath: experience with 65 cases". ePlasty. 12: e50. PMC 3499005. PMID 23185646.
- ^ Lee YJ, Kang Y, Jung J, Kim S, Kim CH (July 2016). "Intramuscular Tenosynovial Giant Cell Tumor, Diffuse-Type". Journal of Pathology and Translational Medicine. 50 (4): 306–308. doi:10.4132/jptm.2015.11.15. PMC 4963964. PMID 26755356.
- ^ a b Ottaviani S, Ayral X, Dougados M, Gossec L (June 2011). "Pigmented villonodular synovitis: a retrospective single-center study of 122 cases and review of the literature". Seminars in Arthritis and Rheumatism. 40 (6): 539–546. doi:10.1016/j.semarthrit.2010.07.005. PMID 20884045.
- ^ a b c d e Stacchiotti S, Dürr HR, Schaefer IM, Woertler K, Haas R, Trama A, et al. (January 2023). "Best clinical management of tenosynovial giant cell tumour (TGCT): A consensus paper from the community of experts". Cancer Treatment Reviews. 112: 102491. doi:10.1016/j.ctrv.2022.102491. hdl:10067/1923310151162165141. PMID 36502615.
- ^ van der Heijden L, Gibbons CL, Dijkstra PD, Kroep JR, van Rijswijk CS, Nout RA, et al. (July 2012). "The management of diffuse-type giant cell tumour (pigmented villonodular synovitis) and giant cell tumour of tendon sheath (nodular tenosynovitis)". The Journal of Bone and Joint Surgery. British Volume. 94 (7): 882–888. doi:10.1302/0301-620X.94B7.28927. PMID 22733940.
- ^ Cannarile MA, Weisser M, Jacob W, Jegg AM, Ries CH, Rüttinger D (July 2017). "Colony-stimulating factor 1 receptor (CSF1R) inhibitors in cancer therapy". Journal for Immunotherapy of Cancer. 5 (1): 53. doi:10.1186/s40425-017-0257-y. PMC 5514481. PMID 28716061.
The tumor-permissive and immunosuppressive characteristics of tumor-associated macrophages (TAM) have fueled interest in therapeutically targeting these cells. In this context, the colony-stimulating factor 1 (CSF1)/colony-stimulating factor 1 receptor (CSF1R) axis has gained the most attention, and various approaches targeting either the ligands or the receptor are currently in clinical development.
- ^ "FDA approves pexidartinib for tenosynovial giant cell tumor". FDA. 20 December 2019. Archived from the original on September 28, 2019.
- ^ "CTG Labs". ClinicalTrials.gov. U.S. National Center for Biotechnology Information (NCBI). 28 August 2024.
- ^ "CTG Labs". ClinicalTrials.gov. U.S. National Center for Biotechnology Information (NCBI). 8 August 2024.
- ^ Spierenburg G, Staals EL, Palmerini E, Randall RL, Thorpe SW, Wunder JS, et al. (February 2024). "Active surveillance of diffuse-type tenosynovial giant cell tumors: A retrospective, multicenter cohort study". European Journal of Surgical Oncology. 50 (2): 107953. doi:10.1016/j.ejso.2024.107953. hdl:1887/3748215. PMID 38215550.
- ^ "FDA approves vimseltinib for symptomatic tenosynovial giant cell tumor". U.S. Food and Drug Administration (FDA). 14 February 2025. Retrieved 16 February 2025.
This article incorporates text from this source, which is in the public domain.
