Intermediate trophoblast


Intermediate trophoblast is a distinct subtype of trophoblastic tissue that arises from the cytotrophoblast.[1]
It is sub-categorized by location:[1]
- Villous intermediate trophoblast:
- at anchoring villi of trophoblastic column
- Implantation site intermediate trophoblast:
- at implantation site (or basal plate), differentiated from villous intermediate trophoblast
- Chorionic-type intermediate trophoblast
- at chorionic laeve of fetal membrane, differentiated from villous intermediate trophoblast
Function
The function of the implantation site intermediate trophoblast is to anchor the placenta to the maternal tissue.
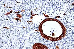
Histomorphology
- Villous intermediate trophoblast[1]
- polyhedral and uniform nuclei
- prominent cell border; abundant eosinophilic to clear cytoplasm
- cohesive growth
- Implantation site intermediate trophoblast[1]
- pleomorphic irregular nuclei, large and hyperchromatic, may show multinucleation
- abundant eosinophilic to amphophilic cytoplasm
- infiltrative growth (splitting muscle, replacing vascular wall ...etc)
- Chorionic-type intermediate trophoblast[1]
- round to polyhedral nuclei, may multinucleation
- abundant eosinophilic to clear cytoplasm
- cohesive growth
Pathology
Intermediate trophoblasts are thought to be the cell of origin for:[1]
- Exaggerated placental site (EPS): implantation site IT
- Placental site nodule (PSN): chorionic-type IT
- Placental site trophoblastic tumour (PSTT): implantation site IT
- Epithelioid trophoblastic tumour (ETT): chorionic-type IT