Dejerine–Sottas disease
| Dejerine–Sottas syndrome | |
|---|---|
| Other names | Charcot–Marie–Tooth disease type 3, Dejerine–Sottas syndrome, hereditary motor and sensory polyneuropathy type III |
![]() | |
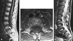
| MRI compatible with Dejerine-Sottas type spinal nerve enlargement | |
| Specialty | Neurology |
| Symptoms | Weakness, reduced muscle tone, loss of sensation in extremities |
| Usual onset | Infancy or early childhood[1] |
| Causes | Genetic mutations[2] |
| Diagnostic method | Medical imaging[1] |
Dejerine–Sottas disease (also known as Dejerine–Sottas syndrome,[3] hereditary motor and sensory polyneuropathy type III, and Charcot–Marie–Tooth disease type 3) is a hereditary neurological disorder characterized by damage to the peripheral nerves, demyelination, and resulting progressive muscle wasting and somatosensory loss. The condition is caused by mutations in various genes and currently has no known cure.[2]
The disorder is named for Joseph Jules Dejerine and Jules Sottas, French neurologists who first described it.[4][5]
Signs and symptoms
Onset occurs in infancy or early childhood, usually before three years of age. Progression is slow until the teenage years at which point it may accelerate, resulting in severe disability.[1]
Symptoms are more severe and rapidly progressive than in the other more common Charcot–Marie–Tooth diseases. Some patients may never walk and will be reliant on wheelchair use by the end of their first decade, while others may need only a cane, crutches, or similar support through most of their lives, but this is rare.[1]
Dejerine–Sottas disease is characterized by moderate to severe lower and upper extremity weakness and loss of sensation, mainly in the lower legs, forearms, feet, and hands. Loss of muscle mass and reduced muscle tone usually occur as the disease progresses. Other symptoms may include pain in the extremities, curvature of the spine, clawed hands, foot deformities, ataxia, peripheral areflexia, and slow acquisition of motor skills in childhood. Symptoms that are less common can include limitation of eye movements, other eye problems such as nystagmus or anisocoria, or moderate to severe hearing loss.[2]
Causes
Dejerine–Sottas neuropathy is caused by a genetic defect either in the proteins found in axons or the proteins found in myelin.[2] Specifically, it has been associated with mutations in MPZ,[6] PMP22,[7] PRX,[8] and EGR2[9] genes. The disorder is inherited in an autosomal dominant or autosomal recessive manner.[2]
Diagnosis
On medical imaging, the peripheral and cranial nerves are enlarged by redundant connective tissue. On histology, this enlargement gives the nerves the appearance of an onion-bulb. Nerve excitability and conduction speed are reduced.[1]
Treatment
Management is symptomatic for this condition.[10]
See also
References
- ^ a b c d e Bissonnette, Bruno; Luginbuehl, Igor; Engelhardt, Thomas (2019). Dejerine-Sottas Syndrome. New York, NY: McGraw-Hill Education – via Access Medicine.
- ^ a b c d e Muscular Dystrophy Association (2012). "Dejerine-Sottas Disease". Archived from the original on 4 January 2012. Retrieved 7 May 2012.
- ^ Satran, R. (1980). "Dejerine-Sottas Disease Revisited". Archives of Neurology. 37 (2): 67–68. doi:10.1001/archneur.1980.00500510025002. PMID 7356409.
- ^ synd/1736 at Whonamedit?
- ^ Dejerine, J. J.; Sottas, J. (1893). "Sur la névrite interstitielle hypertrophique et progressive de l'enfance; affection souvent familiale et à debut infantile, caractérisée par une atrophie musculaire des extrémities, avec troubles marqués de la sensibilité et ataxie des mouvements et relevant d'une névrite interstitielle hypertrophique a marche ascendante avec lésions médullaires consécutives" (PDF). Comptes Rendus des Séances de la Société de Biologie. 45. Paris: 63–96.
- ^ Hayasaka K, Himoro M, Sawaishi Y, et al. (November 1993). "De novo mutation of the myelin P0 gene in Dejerine-Sottas disease (hereditary motor and sensory neuropathy type III)". Nat. Genet. 5 (3): 266–8. doi:10.1038/ng1193-266. PMID 7506095. S2CID 2512684.
- ^ Roa BB, Dyck PJ, Marks HG, Chance PF, Lupski JR (November 1993). "Dejerine-Sottas syndrome associated with point mutation in the peripheral myelin protein 22 (PMP22) gene". Nat. Genet. 5 (3): 269–73. doi:10.1038/ng1193-269. PMID 8275092. S2CID 6407166.
- ^ Kabzinska D, Drac H, Sherman DL, et al. (March 2006). "Charcot-Marie-Tooth type 4F disease caused by S399fsx410 mutation in the PRX gene". Neurology. 66 (5): 745–7. doi:10.1212/01.wnl.0000201269.46071.35. PMID 16534116. S2CID 22585765.
- ^ Boerkoel CF, Takashima H, Bacino CA, Daentl D, Lupski JR (July 2001). "EGR2 mutation R359W causes a spectrum of Dejerine-Sottas neuropathy". Neurogenetics. 3 (3): 153–7. doi:10.1007/s100480100107. PMID 11523566. S2CID 32746701.
- ^ "Symptoms, Causes, Treatment — NORD". National Organization for Rare Disorders. February 11, 2015. Retrieved October 13, 2023.
