2011 in science


26 November 2011: NASA launches its Curiosity rover (pictured), the largest Mars rover yet built.

The year 2011 involved many significant scientific events, including the first artificial organ transplant, the launch of China's first space station and the growth of the world population to seven billion. The year saw a total of 78 successful orbital spaceflights, as well as numerous advances in fields such as electronics, medicine, genetics, climatology and robotics.

2011 was declared the International Year of Forests and Chemistry by the United Nations.[1][2]

Events, discoveries and inventions

January

18 January 2011: scientists prove that sharks are functionally colorblind.
20 January 2011: researchers demonstrate a medical technique that renders human T-cells (pictured, right) resistant to HIV.

February

3 February 2011: the Kepler space telescope discovers a planetary system of six planets orbiting the star Kepler-11 (artist's impression pictured).
  • 2 February – The Linac Coherent Light Source, an X-ray source a billion times brighter than previous sources, becomes operational at Stanford University. The device could potentially revolutionize 3D bioanalysis techniques, especially in the analysis of proteins and viruses.[39]
  • 3 February
    • A blood test to detect vCJD is developed by British scientists, who say it could identify healthy people who are carriers of the disease.[40][41]
    • Further data from the Kepler space telescope published in Nature reveals that the star Kepler-11, located 2,000 light years from Earth, has a planetary system including six planets, which range between two and four-and-a-half times the radius of Earth, and between two and thirteen times its mass. Five orbit the star closer than Mercury orbits the Sun, and all are likely to have atmospheres made of light gases, and to be too hot to support life. The data also includes details of more than 1,000 additional exoplanet candidates.[42][43]
  • 4 February – Scientists reveal a tiny artificial brain, derived from rat neurons, that exhibits 12 seconds of short-term memory.[44][45]
  • 7 February – Scientists at Oxford University successfully test a universal flu vaccine, which should work against all known strains of the illness.[46][47]
  • 9 February – Using 25 years of evidence from over 470,000 participants, researchers show that sleep deprivation and disrupted sleep patterns can have long-term, serious health implications.[48]
  • 10 February – Scientists identify the root molecular cause of a variety of illnesses brought on by advanced age, including waning energy, failure of the heart and other organs, and metabolic disorders such as diabetes.[49]
  • 11 February – Scientists show that stem cells delivered via a nasal spray lead to an improvement of motor functions in rats with Parkinson's disease-like symptoms.[50][51]
  • 15 February
  • 16 February – Researchers find a way of manipulating tiny swimming robots, just 1.3 millimetres long, using electric currents in water.[55][56]
  • 17 February
    • Scientists build the world's first anti-laser, capable of absorbing an incoming laser beam entirely.[57][58]
    • A hummingbird-like "Nano Air Vehicle" is demonstrated for the first time, in an attempt to secure a DARPA contract to create small surveillance aircraft.[59]
  • 20 February – Stanford University researchers create new stretchable solar cells that could power artificial electronic 'super skin', capable of detecting chemicals and biological molecules. The potential applications include clothing, robotics, prosthetic limbs and more.[60][61]
  • 21 February – New research indicates that bilingual speakers are better at multitasking, because they are better at editing out irrelevant information; this overturns previous assumptions of bilingualism causing confusion, especially in children.[62][63]
  • 22 February
  • 28 February

March

18 March 2011: the MESSENGER probe (artist's rendering shown) becomes the first spacecraft to orbit the planet Mercury.
  • 1 March
    • UK researchers demonstrate an optical microscope with one of the highest resolutions yet achieved, capable of imaging objects as little as 50 nanometres across.[71][72]
    • Scientists have determined how to generate a backward-pulling force from a forward-propagating beam, effectively creating a form of "tractor beam".[73][74]
    • Swiss researchers discover a gene in wasps that allow them to reproduce asexually.[75]
  • 4 March
  • 5 March – The United States Air Force launches its robotic Boeing X-37 spaceplane on its second long-duration spaceflight; the spaceplane ultimately remains in orbit for 469 days.[79]
  • 8 March – The world's first tissue-engineered urethras are successfully used.[80][81]
  • 12 March – Surgeons in Houston, Texas, successfully implant the world's first continuous-flow artificial heart in a human patient. The turbine-based device is efficient and long-lived, and may herald the mass production of smaller and more durable alternatives to conventional artificial hearts.[82]
  • 14 March – Archeologists believe that they have found the lost city of Atlantis in mud swamps near Cadiz, Spain. They theorize that a tsunami struck the ancient settlement; a television special on the National Geographic Channel later investigates their findings.[83][84]
  • 16 March – Scientists report the first successful use of microcarriers to bring anti-cancer drugs to the targeted area in the liver of a living rabbit.[85]
  • 18 March – NASA's MESSENGER spacecraft successfully enters orbit around the planet Mercury – the first probe to do so.[86]
  • 20 March
    • A new way of delivering drugs to the brain, using the body's own exosomes, is developed by scientists, overcoming a major barrier to the delivery of potential new drugs for many neurological diseases, including Alzheimer's.[87][88]
    • Researchers announce the development of a three-dimensional nanostructure for battery cathodes that allows for dramatically faster charging, without sacrificing energy storage capacity. This could lead to cellphones that charge in seconds, and electric cars that charge in minutes.[89]
    • A new way of making battery electrodes, based on nanostructured metal foams, can be used to make a lithium-ion battery that recharge by 90% in under two minutes.[90][91]
    • Scientists demonstrate how SHANK3, a brain protein, may trigger autism-like behavior in mice by stopping effective communication between brain cells.[92][93]
  • 22 March – A 6 cm-by-6 cm chip holding nine quantum devices, among them four "quantum bits", is demonstrated at the American Physical Society meeting in Dallas, Texas. It is hoped that further scaling up to 10 qubits should be possible later this year.[94][95]
27 March 2011: American scientists successfully demonstrate a fire-suppression system which uses electric fields to extinguish open flames.
  • 24 March
    • A landmark study indicates that pioglitazone prevents the development of type 2 diabetes in 72% of pre-diabetic subject participants, the largest such decrease yet demonstrated by any intervention.[96][97]
    • The first sperm cells are grown in a lab.[98][99]
  • 27 March – Harvard University scientists demonstrate use of an electric field to extinguish an open flame more than 1 foot tall, a development they say could yield fire-suppression alternatives to water and chemical retardants.[100][101]
  • 31 March – Scientists announce the successful controlled entanglement of 14 quantum bits (qubits), realizing the largest quantum register yet produced—nearly double the previous record for the number of entangled quantum bits realized.[102][103]

April

6 April 2011: scientists in Japan grow working retinas from mouse stem cells.
  • 6 April – Japanese scientists announce that they have created working retinas from mouse stem cells.[114][115]
  • 11 April – ZRTP, a cryptographic key-agreement Real-time Transport Protocol devised by Phil Zimmermann, is published.[116]
  • 12 April
  • 13 April
    • Cellphones may be contributing to a global decline in honeybee populations, according to researchers.[121][122]
    • American scientists discover that light can demonstrate strong magnetic effects when travelling through certain materials at certain intensities. This finding, which overturns a century-old scientific assumption that light's magnetic effects are too weak to be tangible, may lead to the development of solar panels capable of storing energy magnetically.[123]
  • 14 April
  • 15 April
    • The world's first human brain map is unveiled, providing an interactive research tool that will help scientists to understand how the brain works. The map is hoped to aid new discoveries in disease and treatments; one thousand anatomical sites in the brain can be searched, supported by more than 100 million data points that indicate the gene expression and biochemistry of each site.[127]
  • 16 April – Sci-Hub – a shadow library website for open access that provides free access to most paywalled research papers and books without regard to copyright – is launched.[128][129]
  • 17 April – Researchers have injected biodegradable nanofiber spheres carrying cells into wounds to grow tissue.[130]
  • 18 April
    • Scientists demonstrate mathematically that asymmetrical materials should be possible; such material would allow most light or sound waves through in one direction, while preventing them from doing so in the opposite direction; such materials would allow the construction of true one-way mirrors, soundproof rooms, or even quantum computers that use light to perform calculations.[131]
    • A new design for thin-film solar cells has been developed that requires significantly less silicon than standard models, and may be more efficient at capturing solar energy.[132]
  • 19 April – An international research team publishes a new method to produce belts of graphene, called nanoribbons. By using hydrogen, they have managed to transform single-walled carbon nanotubes into ribbons.[133]
  • 20 April – Scientists describe a Chinese spider they say is the biggest fossilised arachnid yet found; Nephila jurassica, as they have called their specimen, would have had a leg span of some 15 cm.[134][135]
21 April 2011: a modified anti-malaria gene is successfully introduced to a population of mosquitoes.

May

12 May 2011: astronomers state that the exoplanet Gliese 581d (artist's impression pictured) could potentially support Earth-like life.
  • 13 May
    • New results from mice cast doubts on hopes for self-transplants generated from the receiver's stem cells, as such transplants can be rejected by the immune system.[186][187]
    • According to new research, a small set of genes located within the mitochondria of cells is crucial to unravelling the secrets of male infertility.[188][189]
    • The discovery of a new physical phenomenon could yield transistors with greatly enhanced capacitance – a measure of the voltage required to move a charge. This, in turn, could lead to the revival of clock speed as the measure of a computer's power.[190]
    • Contaminated water can be cleaned much more effectively using a novel, cheap material, which could offer a low-cost way to purify water in the developing world.[191][192]
  • 15 May – Researchers have found that KLF14, a gene linked to type 2 diabetes and cholesterol levels, is in fact a 'master regulator' gene, which controls the behaviour of other genes found within fat in the body.[193][194]
  • 16 May – NASA's Space Shuttle Endeavour launches on its final mission.[195]
  • 18 May
  • 19 May
    • By using electrical stimulation of the spinal cord, a man from Oregon who became paralyzed after being hit by a car can stand and move his legs on his own.[199][200]
    • Scientists have developed an open-source desktop genome analyzer. It works in conjunction with a browser that allows biologists to rapidly and easily analyze and process their high-throughput information. [201][202]
  • 20 May – A highly developed sense of smell kick-started the evolution of mammals' big brains, according to new research.[203][204][205]
  • 23 May
  • 24 May – A superhot substance recently made in the Large Hadron Collider is the densest form of matter ever observed, scientists have announced.[210]
26 May 2011: American scientists successfully transmute human skin cells directly into neurons (pictured).
  • 25 May
  • 26 May
    • Stanford University researchers have managed to turn human skin cells directly into neurons, without first turning them into pluripotent stem cells.[217][218]
    • Researchers believe they have made the first experimental observation of the dynamical Casimir effect, using a rapidly moving mirror that turns virtual photons into real ones.[219]
  • 29 May – Human organs could be grown inside pigs for use in transplant operations, following research using stem cells.[220][221]
  • 31 May
    • A team of Chinese physicists successfully entangles eight photons simultaneously and observes them in action; the previous record was six.[222]
    • Researchers have demonstrated the first true nanoscale waveguides for next generation on-chip optical communication systems; this holds potential for nanoscale photonic applications such as intra-chip optical communication, signal modulation, nanoscale lasers and bio-medical sensing.[223]
    • A NASA-led research team unveils the most precise map ever produced of the carbon stored in Earth's tropical forests; the data is expected to provide a baseline for ongoing carbon monitoring and research.[224]

June

1 June 2011: two new chemical elements, 114 and 116, are officially added to the periodic table.
12 June 2011: the Nabro Volcano erupts in Eritrea (ash plume pictured), despite having been considered extinct.
22 June 2011: Stanford University engineers develop nanowire electronics that can be attached to nearly any surface (gold nanowires pictured).
  • 22 June
    • A newly developed multiferroic composite of nickel, cobalt, manganese and tin can be either non-magnetic or highly magnetic, depending on its temperature, making it capable of converting heat into electricity. (PopSci) (Adv. Energy Mater.) 
    • The brains of people living in cities operate differently from those in rural areas, according to a brain-scanning study. (The Guardian) (Nature) 
    • Scientists demonstrate an acoustic "cloaking device" that makes objects invisible to sound waves; such acoustic cloaking was proposed theoretically in 2008, but has only this year been put into practice. (BBC) (Phys. Rev. Lett.) 
    • Stanford University researchers have developed a new method of attaching nanowire electronics to the surface of virtually any object, regardless of its shape or composition. The method could be used in making everything from wearable electronics and flexible computer displays to high-efficiency solar cells and ultrasensitive biosensors.(Nano Lett.) 
  • 23 June – Single-celled yeast has been observed to evolve into a multicellular organism, complete with division of labour between cells. This suggests that the evolutionary leap to multicellularity may be a surprisingly small hurdle.(New Scientist) (PNAS) 
  • 24 June
  • 25 June – Stanford researchers have developed a microphone that can be used at any depth in the ocean, even under crushing pressure, and is sensitive to a wide range of sounds, from a whisper in a library to an explosion of TNT. They modeled their device after the extraordinarily acute hearing of orcas. (J. Acoust. Soc. Am.) 

26 June

July

7 July 2011: Swedish surgeons successfully carry out the world's first artificial organ transplant, giving a cancer patient a new, lab-grown trachea.
16 July 2011: NASA's Dawn spacecraft successfully enters orbit around the asteroid 4 Vesta (pictured).
21 July 2011: the final mission of the Space Shuttle program, STS-135, ends with the landing of Space Shuttle Atlantis (pictured) at Kennedy Space Center.

August

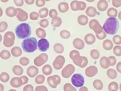
10 August 2011: a new gene therapy successfully kills off leukemia lymphocytes (pictured) in three advanced patients.
19 August 2011: the American Office of Naval Research successfully tests a new class of conventional explosive, reportedly five times more powerful than existing explosives.

September

2 September 2011: scientists create a working electric motor made from a single molecule (molecular-scale computer pictured).
14 September 2011: NASA publishes the design of its future heavy-lift rocket, the Space Launch System (concept art shown).

October

12 October 2011: scientists reconstruct the genome of the Black Death which devastated Europe in the 14th century.
26 October 2011: the Boeing 787 Dreamliner, the first major airliner to significantly incorporate composite materials, completes its first commercial flight.
31 October 2011: the world population reaches seven billion, according to a United Nations estimate.
  • 28 October
    • British scientists report that a daily dose of aspirin can reduce the incidence of bowel cancer in people at high risk of the disease. (BBC) (The Lancet) 
    • Human-caused climate change is already a major factor in more frequent Mediterranean droughts, according to a new study, which shows that the magnitude and frequency of drying is too great to be explained by natural variability alone. (NOAA) (J. Clim.) 
    • NASA launches the NPOESS Preparatory Project – the first of its next generation of polar-orbiting satellites dedicated to gathering weather and climate data. (BBC) (NASA)
  • 29 October – CERN researchers attempt to repeat a recent experiment that apparently yielded faster-than-light neutrinos, using a more efficient system of measurement to validate their results. (The Guardian)
  • 31 October

November

4 November 2011: the MARS-500 isolation experiment (facility diagram shown) ends in Moscow, having simulated a 520-day human mission to Mars.
  • 1 November
  • 2 November
    • China's uncrewed Shenzhou 8 spacecraft robotically docks with the orbiting Tiangong-1 space station module, marking China's first orbital docking, and a major milestone in its efforts to construct a full-scale space station by 2020. (BBC)
    • American researchers delay, and in some cases even eliminate, the onset of age-related symptoms such as wrinkles, muscle wasting and cataracts in mice. The development may have significant implications for the study and treatment of such symptoms in humans. (BBC) (Nature) 
    • Morocco is chosen as the first location for Desertec – a German-led, €400bn project to build a vast network of solar and windfarms across North Africa and the Middle East, with the aim of providing 15% of Europe's electricity supply by 2050. (The Guardian)
  • 4 November
    • Six men emerge from the 520-day MARS-500 isolation experiment, which aimed to simulate a human mission to Mars. The experiment, undertaken at a Moscow scientific institute, was intended to investigate the isolation of long-duration spaceflight and its effects on the human body and mind. (BBC)
    • A 20-year-old alternative solar cell design using dye-sensitized nanocrystal cells (DSC) could lead to cheap, printable cells, revolutionising solar power use worldwide, according to a new study. (KurzweilAI) (J. Am. Chem. Soc.) 
  • 5 November
    • An American doctor claims that brown eyes can safely and permanently be turned blue by using short laser pulses to destroy pigment in the iris. (BBC)
    • An official White House report states that "The U.S. government has no evidence that any life exists outside our planet, or that an extraterrestrial presence has contacted or engaged any member of the human race." It furthermore asserts that there is "no credible information to suggest that any evidence is being hidden from the public's eye." Although odds are "pretty high" that there may be life on other planets, "the odds of us making contact with any of them—especially any intelligent ones—are extremely small, given the distances involved." (UniverseToday) (White House)
  • 6 November – Dopamine-producing brain cells that are killed off by Parkinson's disease have been grown from stem cells and grafted into monkeys' brains by American researchers, in a major step towards new treatments for the condition. (The Guardian) (Nature) 
8 November 2011: Honda releases an enhanced version of its Asimo humanoid robot (earlier version pictured).
26 November 2011: NASA successfully launches its Mars Science Laboratory mission, which landed the Curiosity Mars rover (artist's impression pictured) on Mars in 2012.[230]

December

1 December 2011: Oxford University scientists successfully induce quantum entanglement in two diamonds, the first time entanglement has been achieved in objects visible to the naked eye.
14 December 2011: scientists develop an imaging system which can capture images at one trillion frames per second, allowing it to image the motion of individual light waves.
21 December 2011: researchers report that non-native snakes have devastated populations of small mammals in the Florida Everglades.

Prizes

Abel Prize

Nobel Prize

Deaths

11 February 2011: Christian J. Lambertsen, the inventor of the SCUBA device, dies aged 93.

January

February

March

1 March 2011: John M. Lounge, a former NASA astronaut, dies aged 64.

April

5 April 2011: Baruch Samuel Blumberg, a Nobel Prize-winning American physician, dies aged 85.

May

30 May 2011: Rosalyn Sussman Yalow, a Nobel Prize-winning American physicist, dies aged 89.

June

July

23 July 2011: Robert Ettinger, the "father of cryonics", dies aged 92.

August

September

14 September 2011: Rudolf Mössbauer, a Nobel Prize-winning German physicist, dies aged 82.

October

5 October 2011: Steve Jobs, American technology entrepreneur and co-founder of Apple Inc., dies aged 56.

November

December

See also

References

  1. ^ International Year of Forests 2011 – Celebrating Forests for People. Retrieved 1 November 2011.
  2. ^ International Year of Chemistry 2011 – About IYC Archived 2011-10-08 at the Wayback Machine. Retrieved 1 November 2011.
  3. ^ "Move to market cancer breakthrough". Belfast Telegraph. 2011-01-04. Archived from the original on 2012-10-19.
  4. ^ Roberts, Genevieve (2011-01-04). "New blood test can target one cancer cell in a billion". The Independent. Retrieved 2023-07-09.
  5. ^ "Baldness Cure Rooted in Stem Cells, Study Suggests". Fox News. 2011-01-05. Retrieved 2023-07-09.
  6. ^ Garza, Luis A.; et al. (2011-02-01). "Bald scalp in men with androgenetic alopecia retains hair follicle stem cells but lacks CD200-rich and CD34-positive hair follicle progenitor cells". Journal of Clinical Investigation. 121 (2). American Society for Clinical Investigation: 613–622. doi:10.1172/jci44478. ISSN 0021-9738. PMC 3026732. PMID 21206086.
  7. ^ Kotter, D. K.; et al. (2010-01-05). "Theory and Manufacturing Processes of Solar Nanoantenna Electromagnetic Collectors". Journal of Solar Energy Engineering. 132 (1). ASME International. doi:10.1115/1.4000577. ISSN 0199-6231.
  8. ^ The article was published in the March 3 issue of the journal.
  9. ^ "Study: ESP May Be Real - CBS News". The Early Show. 2011-01-18. Archived from the original on 2011-01-19. Retrieved 2023-07-09.
  10. ^ "ESP Study Gets Published in Scientific Journal". ABC News. 2011-01-06. Retrieved 2023-07-09.
  11. ^ Bem, Daryl J. (2011). "Feeling the future: Experimental evidence for anomalous retroactive influences on cognition and affect". Journal of Personality and Social Psychology. 100 (3). American Psychological Association (APA): 407–425. doi:10.1037/a0021524. ISSN 1939-1315. PMID 21280961. S2CID 1961013.
  12. ^ Palmer, Jason (2011-01-10). "Rocky exoplanet milestone in hunt for Earth-like worlds". BBC News. Retrieved 2023-07-09.
  13. ^ "NASA'S Kepler Mission Discovers Its First Rocky Planet". Brian Dunbar. 2011-01-11. Archived from the original on 2015-06-27. Retrieved 2023-07-09.
  14. ^ Batalha, Natalie M.; et al. (2011-02-07). "KEPLER'S FIRST ROCKY PLANET: KEPLER-10b". The Astrophysical Journal. 729 (1). American Astronomical Society: 27. arXiv:1102.0605. Bibcode:2011ApJ...729...27B. doi:10.1088/0004-637x/729/1/27. ISSN 0004-637X. S2CID 55059000.
  15. ^ (MSNBC)
  16. ^ Dickinson, Kacie M; et al. (2011). "Endothelial function is impaired after a high-salt meal in healthy subjects". The American Journal of Clinical Nutrition. 93 (3). Elsevier BV: 500–505. doi:10.3945/ajcn.110.006155. ISSN 0002-9165. PMID 21228265.
  17. ^ Seppa, Nathan (2011-01-16). "Tongue Piercings Worse With Metal - Science News". sciencenews.org. Archived from the original on 2011-01-16. Retrieved 2023-07-09.
  18. ^ Kapferer, Ines; et al. (2011). "Tongue Piercing: The Effect of Material on Microbiological Findings". Journal of Adolescent Health. 49 (1). Elsevier BV: 76–83. doi:10.1016/j.jadohealth.2010.10.008. ISSN 1054-139X. PMID 21700161.
  19. ^ "Smoking 'causes damage in minutes', US experts claim". BBC News. 2011-01-16. Retrieved 2023-07-09.
  20. ^ Zhong, Yan; et al. (2010-12-27). "Immediate Consequences of Cigarette Smoking: Rapid Formation of Polycyclic Aromatic Hydrocarbon Diol Epoxides". Chemical Research in Toxicology. 24 (2). American Chemical Society: 246–252. doi:10.1021/tx100345x. ISSN 0893-228X. PMC 3042042. PMID 21184614.
  21. ^ Gill, Victoria (2011-01-18). "Sharks are probably colour-blind". BBC. Retrieved 2023-07-09.
  22. ^ Hart, Nathan Scott; et al. (2011-01-07). "Microspectrophotometric evidence for cone monochromacy in sharks". Naturwissenschaften. 98 (3). Springer Science and Business Media LLC: 193–201. Bibcode:2011NW.....98..193H. doi:10.1007/s00114-010-0758-8. ISSN 0028-1042. PMID 21212930. S2CID 30148811.
  23. ^ "Male subfertility helped by antioxidants says research". BBC News. 2011-01-19. Retrieved 2023-07-09.
  24. ^ Smits, Roos M.; Mackenzie-Proctor, Rebecca; Yazdani, Anusch; Stankiewicz, Marcin T.; Jordan, Vanessa; Showell, Marian G. (2019-03-14). "Antioxidants for male subfertility". The Cochrane Database of Systematic Reviews. 2019 (3): CD007411. doi:10.1002/14651858.CD007411.pub4. ISSN 1469-493X. PMC 6416049. PMID 30866036.
  25. ^ Hill, Brandon (2011-01-31). "New Technique Renders T-Cells Resistant to HIV". DailyTech. Archived from the original on 2011-06-17. Retrieved 2023-07-09.
  26. ^ Chono, Hideto; et al. (2011). "Acquisition of HIV-1 Resistance in T Lymphocytes Using an ACA-SpecificE. colimRNA Interferase". Human Gene Therapy. 22 (1). Mary Ann Liebert Inc: 35–43. doi:10.1089/hum.2010.001. ISSN 1043-0342. PMID 20649483.
  27. ^ "2010 record temperature". wmo.int. 2011-12-31. Archived from the original on 2011-04-23. Retrieved 2023-07-09.
  28. ^ Simmons, Stephanie; et al. (2011-01-19). "Entanglement in a solid-state spin ensemble". Nature. 470 (7332). Springer Science and Business Media LLC: 69–72. arXiv:1010.0107. Bibcode:2011Natur.470...69S. doi:10.1038/nature09696. ISSN 0028-0836. PMID 21248751. S2CID 4322097.
  29. ^ Amos, Jonathan (2011-01-21). "Fossil female pterosaur found with preserved egg". BBC News. Retrieved 2023-07-09.
  30. ^ Lü, Junchang; et al. (2011-01-21). "An Egg-Adult Association, Gender, and Reproduction in Pterosaurs". Science. 331 (6015). American Association for the Advancement of Science: 321–324. Bibcode:2011Sci...331..321L. doi:10.1126/science.1197323. ISSN 0036-8075. PMID 21252343. S2CID 206529739.
  31. ^ "Researchers find smoking gun of world\'s biggest extinctionWorld leading higher education information and services". World leading higher education information and services. 2011-01-24. Archived from the original on 2023-07-09. Retrieved 2023-07-09.
  32. ^ Grasby, Stephen E.; et al. (2011-01-23). "Catastrophic dispersion of coal fly ash into oceans during the latest Permian extinction". Nature Geoscience. 4 (2). Springer Science and Business Media LLC: 104–107. Bibcode:2011NatGe...4..104G. doi:10.1038/ngeo1069. ISSN 1752-0894.
  33. ^ Bowdler, Neil (2011-01-25). "Two-clawed and parrot-sized: new T.rex cousin unveiled". BBC News. Retrieved 2023-07-09.
  34. ^ Xu, Xing; et al. (2011-01-24). "A monodactyl nonavian dinosaur and the complex evolution of the alvarezsauroid hand". Proceedings of the National Academy of Sciences. 108 (6): 2338–2342. Bibcode:2011PNAS..108.2338X. doi:10.1073/pnas.1011052108. ISSN 0027-8424. PMC 3038769. PMID 21262806.
  35. ^ Segall, Laurie (2011-01-24). "This 3D printer makes edible food". -. Retrieved 2023-07-09.
  36. ^ "Europe Moves to Recycle Rare Earths". The New York Times. 2011-01-27. Retrieved 2023-07-09.
  37. ^ Werner, K.; Rauch, T. (2011). "UV spectroscopy of the hot bare stellar core H1504+65 with the HST Cosmic Origins Spectrograph". Astrophysics and Space Science. 335 (1): 121–24. Bibcode:2011Ap&SS.335..121W. doi:10.1007/s10509-011-0617-x. S2CID 116910726.
  38. ^ Radisavljevic, B.; et al. (2011-01-30). "Single-layer MoS2 transistors". Nature Nanotechnology. 6 (3). Springer Science and Business Media LLC: 147–150. Bibcode:2011NatNa...6..147R. doi:10.1038/nnano.2010.279. ISSN 1748-3387. PMID 21278752.
  39. ^ "SLAC National Accelerator Laboratory Bold people. Visionary science. Real impact". SLAC National Accelerator Laboratory. 2023-04-13. Retrieved 2023-07-09.
  40. ^ McGilchrist, Sonya (2011-02-03). "Blood test for vCJD 'could identify carriers'". BBC News. Retrieved 2023-07-09.
  41. ^ Edgeworth, Julie Ann; et al. (2011). "Detection of prion infection in variant Creutzfeldt-Jakob disease: a blood-based assay". The Lancet. 377 (9764). Elsevier BV: 487–493. doi:10.1016/s0140-6736(10)62308-2. ISSN 0140-6736. PMID 21295339. S2CID 39891588.
  42. ^ Palmer, Jason (2011-02-02). "Six exoplanets in close orbit around far-flung star". BBC News. Retrieved 2023-07-09.
  43. ^ Lissauer, Jack J.; et al. (2011). "A closely packed system of low-mass, low-density planets transiting Kepler-11". Nature. 470 (7332). Springer Science and Business Media LLC: 53–58. arXiv:1102.0291. Bibcode:2011Natur.470...53L. doi:10.1038/nature09760. ISSN 0028-0836. PMID 21293371. S2CID 4388001.
  44. ^ Dillow, Clay (2011-06-02). "Scientists Create Tiny Artificial Brain That Exhibits 12 Seconds of Short Term Memory". Popular Science. Retrieved 2023-07-09.
  45. ^ Vishwanathan, Ashwin; et al. (2011). "Ring-shaped neuronal networks: a platform to study persistent activity". Lab on a Chip. 11 (6). Royal Society of Chemistry: 1081–1088. doi:10.1039/c0lc00450b. ISSN 1473-0197. PMID 21293826.
  46. ^ Jha, Alok (2011-02-06). "Flu breakthrough promises a vaccine to kill all strains". the Guardian. Retrieved 2023-07-09.
  47. ^ Berthoud, T. K.; et al. (2011-01-01). "Potent CD8+ T-Cell Immunogenicity in Humans of a Novel Heterosubtypic Influenza A Vaccine, MVA-NP+M1". Clinical Infectious Diseases. 52 (1). Oxford University Press: 1–7. doi:10.1093/cid/ciq015. ISSN 1058-4838. PMC 3060888. PMID 21148512.
  48. ^ Cappuccio, Francesco P.; et al. (2011-02-07). "Sleep duration predicts cardiovascular outcomes: a systematic review and meta-analysis of prospective studies". European Heart Journal. 32 (12). Oxford University Press: 1484–1492. doi:10.1093/eurheartj/ehr007. ISSN 1522-9645. PMID 21300732.
  49. ^ Sahin, Ergün; et al. (2011-02-09). "Telomere dysfunction induces metabolic and mitochondrial compromise". Nature. 470 (7334). Springer Science and Business Media LLC: 359–365. Bibcode:2011Natur.470..359S. doi:10.1038/nature09787. ISSN 0028-0836. PMC 3741661. PMID 21307849.
  50. ^ "Stem Cells Delivered in Nasal Spray Ease Parkinson's Disease Symptoms in Rats". Neuroscience News. 2011-02-09. Retrieved 2023-07-09.
  51. ^ Danielyan, Lusine; et al. (2011). "Therapeutic Efficacy of Intranasally Delivered Mesenchymal Stem Cells in a Rat Model of Parkinson Disease". Rejuvenation Research. 14 (1). Mary Ann Liebert Inc: 3–16. doi:10.1089/rej.2010.1130. ISSN 1549-1684. PMID 21291297.
  52. ^ "Watson Supercomputer Terminates Humans in First Jeopardy Round". WIRED. 2011-02-16. Retrieved 2023-07-09.
  53. ^ "Medical Daily: Simple chemical cocktail shows first promise for limb re-growth in mammals". medicaldaily.com. 2011-07-23. Archived from the original on 2011-07-23. Retrieved 2023-07-09.
  54. ^ Jung, Da-Woon; et al. (2011-02-28). "Novel Chemically Defined Approach To Produce Multipotent Cells from Terminally Differentiated Tissue Syncytia". ACS Chemical Biology. 6 (6). American Chemical Society: 553–562. doi:10.1021/cb2000154. ISSN 1554-8929. PMID 21322636.
  55. ^ "One Per Cent: Microbots made to twist and turn as they swim". newscientist.com. 2011-02-16. Archived from the original on 2011-02-18. Retrieved 2023-07-09.
  56. ^ Sharma, Rachita; Velev, Orlin (2011-03-25). "Remote Powering and Steering of Self-Propelling Microdevices by Modulated Electric Field". Bulletin of the American Physical Society. 56 (1). American Physical Society. Bibcode:2011APS..MAR.Y9003S. Retrieved 2023-07-09.
  57. ^ "Scientists build the world's first anti-laser". BBC News. 2011-02-17. Retrieved 2023-07-09.
  58. ^ Wan, Wenjie; et al. (2011-02-18). "Time-Reversed Lasing and Interferometric Control of Absorption". Science. 331 (6019). American Association for the Advancement of Science: 889–892. Bibcode:2011Sci...331..889W. doi:10.1126/science.1200735. ISSN 0036-8075. PMID 21330539. S2CID 206531272.
  59. ^ "News & Events". AeroVironment, Inc. 2023-06-26. Retrieved 2023-07-09.
  60. ^ University, Stanford (2023-01-23). "You've requested a page that no longer exists". Stanford News. Retrieved 2023-07-09.
  61. ^ "Abstract: Organic Materials-Based Flexible Electronic Sensors (2011 AAAS Annual Meeting (17-21 February 2011))". aaas.confex.com. 2011-02-21. Retrieved 2023-07-09.
  62. ^ "Juggling languages can build better brains". Penn State Live. 2011-02-21. Archived from the original on 2011-02-21. Retrieved 2023-07-09.
  63. ^ "Abstract: The Bilingual Is a Mental Juggler: Behavioral and Electrophysiological Evidence (2011 AAAS Annual Meeting (17-21 February 2011))". aaas.confex.com. 2011-02-21. Retrieved 2023-07-09.
  64. ^ Huang, Kuo-Ken; Wentzloff, David D. (2011-05-24). "A 60GHz Antenna-Referenced Frequency-Locked Loop in 0.13μm CMOS for Wireless Sensor Networks" (PDF). eecs.umich.edu. Archived from the original (PDF) on 2011-05-24. Retrieved 2023-07-09.
  65. ^ Team, Technology Review Web Development (2011-02-24). "Physicists Discover Quantum Law of Protein Folding". Technology Review. Archived from the original on 2011-02-24. Retrieved 2023-07-09.
  66. ^ Luo, Liaofu; Lu, Jun (2011). "Temperature Dependence of Protein Folding Deduced from Quantum Transition". arXiv:1102.3748 [q-bio.BM].
  67. ^ Team, Technology Review Web Development (2011-02-27). "The First Full-Color Display with Quantum Dots". Technology Review. Archived from the original on 2011-02-27. Retrieved 2023-07-09.
  68. ^ Kim, Tae-Ho; et al. (2011-02-20). "Full-colour quantum dot displays fabricated by transfer printing". Nature Photonics. 5 (3). Springer Science and Business Media LLC: 176–182. Bibcode:2011NaPho...5..176K. doi:10.1038/nphoton.2011.12. ISSN 1749-4885.
  69. ^ Schroers, Jan; et al. (2011). "Thermoplastic blow molding of metals". Materials Today. 14 (1–2). Elsevier BV: 14–19. doi:10.1016/s1369-7021(11)70018-9. ISSN 1369-7021.
  70. ^ "(TechReview)". Archived from the original on 2011-03-17. Retrieved 2011-03-07.
  71. ^ Palmer, Jason (2011-03-01). "Microscope with 50-nanometre resolution demonstrated". BBC News. Retrieved 2024-04-24.
  72. ^ Wang, Zengbo; et al. (2011-03-01). "Optical virtual imaging at 50 nm lateral resolution with a white-light nanoscope". Nature Communications. 2 (1): 218. arXiv:1006.4037. Bibcode:2011NatCo...2..218W. doi:10.1038/ncomms1211. ISSN 2041-1723. PMID 21364557.
  73. ^ "How To Turn A Laser Into A Tractor Beam". technologyreview.com. 2011-04-03. Archived from the original on 2011-03-02. Retrieved 2024-04-24.
  74. ^ Chen, Jun; Ng, Jack; Lin, Zhifang; Chan, C. T. (2011). "Optical pulling force". Nature Photonics. 5 (9): 531–534. arXiv:1102.4905. Bibcode:2011NaPho...5..531C. doi:10.1038/nphoton.2011.153. ISSN 1749-4885.
  75. ^ Sandrock, Christoph; Vorburger, Christoph (2011). "Single-Locus Recessive Inheritance of Asexual Reproduction in a Parasitoid Wasp". Current Biology. 21 (5): 433–437. Bibcode:2011CBio...21..433S. doi:10.1016/j.cub.2011.01.070. PMID 21353557.
  76. ^ "Human stem cells combat Alzheimer's". machineslikeus.com. 2011-09-09. Archived from the original on 2011-03-09. Retrieved 2024-04-24.
  77. ^ Bissonnette, Christopher J.; Lyass, Ljuba; Bhattacharyya, Bula J.; Belmadani, Abdelhak; Miller, Richard J.; Kessler, John A. (2011-05-01). "The Controlled Generation of Functional Basal Forebrain Cholinergic Neurons from Human Embryonic Stem Cells". Stem Cells. 29 (5): 802–811. doi:10.1002/stem.626. ISSN 1066-5099. PMC 3107131. PMID 21381151.
  78. ^ Sutcliffe, J. Gregor; Hedlund, Peter B.; Thomas, Elizabeth A.; Bloom, Floyd E.; Hilbush, Brian S. (2011). "Peripheral reduction of β-amyloid is sufficient to reduce brain β-amyloid: Implications for Alzheimer's disease". Journal of Neuroscience Research. 89 (6): 808–814. doi:10.1002/jnr.22603. PMID 21374699.
  79. ^ "Boeing X-37B Orbital Test Vehicle Completes 469-Day Mission". Bloomberg.com. 2012-06-16. Retrieved 2024-04-24.
  80. ^ Roberts, Michelle (2011-03-08). "World's first tissue-engineered urethras hailed success". BBC News. Retrieved 2024-04-24.
  81. ^ Raya-Rivera, Atlantida; et al. (2011). "Tissue-engineered autologous urethras for patients who need reconstruction: an observational study". The Lancet. 377 (9772): 1175–1182. doi:10.1016/S0140-6736(10)62354-9. PMC 4005887. PMID 21388673.
  82. ^ Berger, Eric (2011-03-23). "Artificial heart 'a leap forward,' Houston docs say". Chron. Retrieved 2024-04-24.
  83. ^ "Lost city of Atlantis believed found off Spain". NBC News. 2011-03-14. Retrieved 2024-04-24.
  84. ^ "Has Long-Lost City Finally Been Found?". Fox News. 2015-03-27. Archived from the original on March 16, 2011. Retrieved 2024-04-24.
  85. ^ Pouponneau, Pierre; Leroux, Jean-Christophe; Soulez, Gilles; Gaboury, Louis; Martel, Sylvain (2011). "Co-encapsulation of magnetic nanoparticles and doxorubicin into biodegradable microcarriers for deep tissue targeting by vascular MRI navigation". Biomaterials. 32 (13): 3481–3486. doi:10.1016/j.biomaterials.2010.12.059. PMID 21315445.
  86. ^ Amos, Jonathan (2011-03-17). "Messenger probe enters Mercury orbit". BBC News. Retrieved 2024-04-24.
  87. ^ Gallagher, James (2011-03-20). "Breakthrough in delivering drugs to the brain". BBC News. Retrieved 2024-04-24.
  88. ^ Alvarez-Erviti, Lydia; Seow, Yiqi; Yin, HaiFang; Betts, Corinne; Lakhal, Samira; Wood, Matthew J A (2011). "Delivery of siRNA to the mouse brain by systemic injection of targeted exosomes". Nature Biotechnology. 29 (4): 341–345. doi:10.1038/nbt.1807. ISSN 1087-0156. PMID 21423189.
  89. ^ Zhang, Huigang; Yu, Xindi; Braun, Paul V. (2011). "Three-dimensional bicontinuous ultrafast-charge and -discharge bulk battery electrodes". Nature Nanotechnology. 6 (5): 277–281. Bibcode:2011NatNa...6..277Z. doi:10.1038/nnano.2011.38. ISSN 1748-3387. OSTI 1876445. PMID 21423184.
  90. ^ Bourzac, Katherine (2011-09-03). "Batteries that Recharge in Seconds". technologyreview.com. Archived from the original on 2011-04-14. Retrieved 2024-04-24.
  91. ^ Zhang, Huigang; Yu, Xindi; Braun, Paul V. (2011). "Three-dimensional bicontinuous ultrafast-charge and -discharge bulk battery electrodes". Nature Nanotechnology. 6 (5): 277–281. Bibcode:2011NatNa...6..277Z. doi:10.1038/nnano.2011.38. ISSN 1748-3387. OSTI 1876445. PMID 21423184.
  92. ^ "Protein found in brain cells may be key to autism". BBC News. 2011-03-20. Retrieved 2024-04-24.
  93. ^ Peça, João; Feliciano, Cátia; Ting, Jonathan T.; Wang, Wenting; Wells, Michael F.; Venkatraman, Talaignair N.; Lascola, Christopher D.; Fu, Zhanyan; Feng, Guoping (2011). "Shank3 mutant mice display autistic-like behaviours and striatal dysfunction". Nature. 472 (7344): 437–442. Bibcode:2011Natur.472..437P. doi:10.1038/nature09965. ISSN 0028-0836. PMC 3090611. PMID 21423165.
  94. ^ Palmer, Jason (2011-03-22). "Quantum computing device hints at powerful future". BBC News. Retrieved 2024-04-24.
  95. ^ "APS -APS March Meeting 2011 - Session Index MAR11". Bulletin of the American Physical Society. 56 (1). American Physical Society. 2011-03-21. Retrieved 2024-04-24.
  96. ^ "Study: Diabetes Pill Prevents Type 2 in 72 Percent of Participants". dailytech.com. 2012-04-03. Archived from the original on 2012-01-11. Retrieved 2024-04-24.
  97. ^ DeFronzo, Ralph A.; et al. (2011-03-24). "Pioglitazone for Diabetes Prevention in Impaired Glucose Tolerance". New England Journal of Medicine. 364 (12): 1104–1115. doi:10.1056/NEJMoa1010949. ISSN 0028-4793. PMID 21428766.
  98. ^ Smith, Lewis (2011-03-24). "First sperm are grown in lab". The Independent. Retrieved 2024-04-24.
  99. ^ Sato, Takuya; Katagiri, Kumiko; Gohbara, Ayako; Inoue, Kimiko; Ogonuki, Narumi; Ogura, Atsuo; Kubota, Yoshinobu; Ogawa, Takehiko (2011-03-24). "In vitro production of functional sperm in cultured neonatal mouse testes". Nature. 471 (7339): 504–507. Bibcode:2011Natur.471..504S. doi:10.1038/nature09850. ISSN 0028-0836. PMID 21430778.
  100. ^ "Scientists fight flames with electric wand". www.cnn.com. Archived from the original on October 24, 2012. Retrieved 2024-04-24.
  101. ^ "Result Content View". abstracts.acs.org. 2012-03-22. Archived from the original on 2011-08-11. Retrieved 2024-04-24.
  102. ^ "Physicists set new quantum entanglement world record". 2011-04-08. Archived from the original on 2011-06-16. Retrieved 2024-04-24.
  103. ^ Monz, Thomas; et al. (2011-03-31). "14-Qubit Entanglement: Creation and Coherence". Physical Review Letters. 106 (13): 130506. arXiv:1009.6126. Bibcode:2011PhRvL.106m0506M. doi:10.1103/PhysRevLett.106.130506. ISSN 0031-9007. PMID 21517367.
  104. ^ Gallagher, James (2011-04-04). "Five more Alzheimer's genes discovered, scientists say". BBC News. Retrieved 2024-09-05.
  105. ^ Hollingworth, Paul; Harold; Sims, Rebecca; Gerrish, Amy (2011). "Common variants at ABCA7, MS4A6A/MS4A4E, EPHA1, CD33 and CD2AP are associated with Alzheimer's disease". Nature Genetics. 43 (5): 429–435. doi:10.1038/ng.803. ISSN 1061-4036. PMC 3084173. PMID 21460840.
  106. ^ "Autistic brain organized differently". CBC. 2011-04-04. Retrieved 2024-09-05.
  107. ^ Nordqvist, Christian (2011-04-05). "Visual Detection And Identification More Active In Autistic Brain Than Thought Control And Actions". MedicalNewsToday. Retrieved 2024-09-05.
  108. ^ Samson, Fabienne; Mottron, Laurent; Soulières, Isabelle; Zeffiro, Thomas A. (2012). "Enhanced visual functioning in autism: An ALE meta-analysis". Human Brain Mapping. 33 (7): 1553–1581. doi:10.1002/hbm.21307. ISSN 1065-9471. PMC 6870295. PMID 21465627.
  109. ^ Boyle, Rebecca (2011-04-06). "Fermilab Physicists Have Detected A Possible New Particle or New Force". Popular Science. Retrieved 2024-09-05.
  110. ^ Palmer, Jason (2011-04-07). "Tevatron accelerator yields hints of new particle". BBC News. Retrieved 2024-09-05.
  111. ^ Aaltonen, T.; Álvarez González, B.; Amerio, S. (2011-04-28). "Invariant Mass Distribution of Jet Pairs Produced in Association with a W Boson in p p ¯ Collisions at s = 1.96 TeV". Physical Review Letters. 106 (17): 171801. arXiv:1104.0699. Bibcode:2011PhRvL.106q1801A. doi:10.1103/PhysRevLett.106.171801. ISSN 0031-9007. PMID 21635027.
  112. ^ Valentine, Andrea; O'Rourke, Martin; Yakkundi, Anita (2011-03-01). "FKBPL and Peptide Derivatives: Novel Biological Agents That Inhibit Angiogenesis by a CD44-Dependent Mechanism". Clinical Cancer Research. 17 (5): 1044–1056. doi:10.1158/1078-0432.CCR-10-2241. ISSN 1078-0432. PMC 3059488. PMID 21364036.
  113. ^ Eaton, Kit (2011-04-05). "Russia, U.S. Plan a Nuclear-Powered Space Rocket, Making Mars Mission More Feasible". Fast Company. Retrieved 2024-09-05.
  114. ^ Roberts, Michelle (2011-04-06). "Scientists make eye's retina from stem cells". BBC News. Retrieved 2024-09-05.
  115. ^ Callaway, Ewen (2011-04-06). "Stem cells make 'retina in a dish'". Nature. doi:10.1038/news.2011.215. ISSN 0028-0836.
  116. ^ RFC 6189. Zimmermann, Phil (2010-06-17). "Internet-Draft. ZRTP: Media Path Key Agreement for Unicast Secure RTP". Retrieved 2010-06-17.
  117. ^ Singer, Thea (2011-04-11). "Anti-Aging Pill: New Study on TA-65 Sparks Controversy". The Daily Beast. Archived from the original on 2011-04-15. Retrieved 2024-09-05.
  118. ^ de Jesus, Bruno Bernardes; Schneeberger, Kerstin; Vera, Elsa; Tejera, Agueda; Harley, Calvin B.; Blasco, Maria A. (2011). "The telomerase activator TA-65 elongates short telomeres and increases health span of adult/old mice without increasing cancer incidence". Aging Cell. 10 (4): 604–621. doi:10.1111/j.1474-9726.2011.00700.x. ISSN 1474-9718. PMC 3627294. PMID 21426483.
  119. ^ Black, Richard (2011-04-12). "Shale gas 'worse than coal' for climate". BBC News. Retrieved 2024-09-05.
  120. ^ Howarth, Robert W.; Santoro, Renee; Ingraffea, Anthony (2011). "Methane and the greenhouse-gas footprint of natural gas from shale formations: A letter". Climatic Change. 106 (4): 679–690. doi:10.1007/s10584-011-0061-5. ISSN 0165-0009.
  121. ^ "Why answering your cellphone might be killing bees". thestar.com. 2011-05-17. Archived from the original on 2011-05-17. Retrieved 2024-09-05.
  122. ^ Favre, Daniel (2011). "Mobile phone-induced honeybee worker piping". Apidologie. 42 (3): 270–279. doi:10.1007/s13592-011-0016-x. ISSN 0044-8435.
  123. ^ Moore, Nicole Casal (2011-07-18). "'We've all been taught that this doesn't happen'". michigantoday.umich.edu. Archived from the original on 2011-04-26. Retrieved 2024-09-05.
  124. ^ Walsh, Fergus (2011-04-14). "TeloVac pancreatic cancer vaccine trial launched in UK". BBC News. Retrieved 2024-09-05.
  125. ^ Gallagher, James (2011-04-13). "Brain scans fuel hope of early Alzheimer's detection". BBC News. Retrieved 2024-09-05.
  126. ^ Dickerson, B.C.; Stoub, T.R.; Shah, R.C. (2011-04-19). "Alzheimer-signature MRI biomarker predicts AD dementia in cognitively normal adults". Neurology. 76 (16): 1395–1402. doi:10.1212/WNL.0b013e3182166e96. ISSN 0028-3878. PMC 3087406. PMID 21490323.
  127. ^ "Short Sharp Science: World's first human brain map unveiled". newscientist.com. 2011-04-15. Archived from the original on 2011-04-16. Retrieved 2024-09-05.
  128. ^ Himmelstein, Daniel S; Romero, Ariel Rodriguez; Levernier, Jacob G; Munro, Thomas Anthony; McLaughlin, Stephen Reid; Greshake Tzovaras, Bastian; Greene, Casey S (2018). "Sci-Hub provides access to nearly all scholarly literature". eLife. 7. doi:10.7554/eLife.32822. ISSN 2050-084X. PMC 5832410. PMID 29424689.
  129. ^ Bohannon, John (28 April 2016). "Who's downloading pirated papers? Everyone". Science. 352 (6285): 508–512. doi:10.1126/science.aaf5664. PMID 27126020.
  130. ^ Liu, Xiaohua; Jin, Xiaobing; Ma, Peter X. (2011). "Nanofibrous hollow microspheres self-assembled from star-shaped polymers as injectable cell carriers for knee repair". Nature Materials. 10 (5): 398–406. Bibcode:2011NatMa..10..398L. doi:10.1038/nmat2999. ISSN 1476-1122. PMC 3080435. PMID 21499313.
  131. ^ Lepri, Stefano; Casati, Giulio (2011-04-18). "Asymmetric Wave Propagation in Nonlinear Systems". Physical Review Letters. 106 (16): 164101. arXiv:1103.4802. Bibcode:2011PhRvL.106p4101L. doi:10.1103/PhysRevLett.106.164101. ISSN 0031-9007. PMID 21599368.
  132. ^ Vanecek, Milan; Babchenko, Oleg; Purkrt, Adam; Holovsky, Jakub; Neykova, Neda; Poruba, Ales; Remes, Zdenek; Meier, Johannes; Kroll, Ulrich (2011-04-18). "Nanostructured three-dimensional thin film silicon solar cells with very high efficiency potential". Applied Physics Letters. 98 (16): 358337. Bibcode:2011ApPhL..98p3503V. doi:10.1063/1.3583377. ISSN 0003-6951.
  133. ^ Talyzin, Alexandr V.; Luzan, Serhiy; Anoshkin, Ilya V.; Nasibulin, Albert G.; Jiang, Hua; Kauppinen, Esko I.; Mikoushkin, Valery M.; Shnitov, Vladimir V.; Marchenko, Dmitry E.; Noréus, Dag (2011-06-28). "Hydrogenation, Purification, and Unzipping of Carbon Nanotubes by Reaction with Molecular Hydrogen: Road to Graphane Nanoribbons". ACS Nano. 5 (6): 5132–5140. doi:10.1021/nn201224k. ISSN 1936-0851. PMID 21504190.
  134. ^ Amos, Jonathan (2011-04-20). "Fossilised spider 'biggest on record'". BBC News. Retrieved 2024-09-05.
  135. ^ Selden, Paul A.; Shih, ChungKun; Ren, Dong (2011-10-23). "A golden orb-weaver spider (Araneae: Nephilidae: Nephila ) from the Middle Jurassic of China". Biology Letters. 7 (5): 775–778. doi:10.1098/rsbl.2011.0228. ISSN 1744-9561. PMC 3169061. PMID 21508021.
  136. ^ Gallagher, James (2011-04-20). "GM mosquitoes offer malaria hope". BBC News. Retrieved 2024-09-05.
  137. ^ Windbichler, Nikolai; Menichelli, Miriam; Papathanos, Philippos Aris; Thyme, Summer B.; Li, Hui; Ulge, Umut Y.; Hovde, Blake T.; Baker, David; Monnat, Raymond J.; Burt, Austin; Crisanti, Andrea (2011). "A synthetic homing endonuclease-based gene drive system in the human malaria mosquito". Nature. 473 (7346): 212–215. Bibcode:2011Natur.473..212W. doi:10.1038/nature09937. ISSN 0028-0836. PMC 3093433. PMID 21508956.
  138. ^ Joshi, Jonathan; Zhang, Jialu; Wang, Chuan; Hsu, Chih-Chieh; Parker, Alice C.; Zhou, Chongwu; Ravishankar, Udhay (2011). 2011 IEEE/NIH Life Science Systems and Applications Workshop (LiSSA). IEEE. doi:10.1109/lissa.2011.5754178.
  139. ^ Yirka, Bob (2011-04-21). "Israeli engineers build artificial device capable of detecting cancer in breath". Medical Xpress. Retrieved 2024-09-05.
  140. ^ Hakim, M; Billan, S; Tisch, U; Peng, G; Dvrokind, I; Marom, O; Abdah-Bortnyak, R; Kuten, A; Haick, H (2011). "Diagnosis of head-and-neck cancer from exhaled breath". British Journal of Cancer. 104 (10): 1649–1655. doi:10.1038/bjc.2011.128. ISSN 0007-0920. PMC 3101906. PMID 21505455.
  141. ^ "Researchers Describe Gene Activity in Living Cells". US News & World Report. 2011-04-27. Retrieved 2024-09-05.
  142. ^ "Première observation directe d'une transcription génétique". Techno-Science.net (in French). 2011-05-11. Retrieved 2024-09-05.
  143. ^ Larson, Daniel R.; Zenklusen, Daniel; Wu, Bin; Chao, Jeffrey A.; Singer, Robert H. (2011-04-22). "Real-Time Observation of Transcription Initiation and Elongation on an Endogenous Yeast Gene". Science. 332 (6028): 475–478. Bibcode:2011Sci...332..475L. doi:10.1126/science.1202142. ISSN 0036-8075. PMC 3152976. PMID 21512033.
  144. ^ Palmer, Jason (2011-04-24). "Lasers could replace spark plugs in car engines". BBC News. Retrieved 2024-09-05.
  145. ^ Society, Electro-Optics; Science, APS/Division of Laser; America, Optical Society of (2011-08-31). "CLEO Press Releases". cleoconference.org. Archived from the original on 2011-04-30. Retrieved 2024-09-05.
  146. ^ Pavel, Nicolaie; Tsunekane, Masaki; Taira, Takunori (2011-05-09). "Composite, all-ceramics, high-peak power Nd:YAG/Cr^4+:YAG monolithic micro-laser with multiple-beam output for engine ignition". Optics Express. 19 (10): 9378–9384. Bibcode:2011OExpr..19.9378P. doi:10.1364/OE.19.009378. ISSN 1094-4087. PMID 21643194.
  147. ^ The paper was presented at the CLEO conference on 2 May, and published on 9 May.
  148. ^ Society, National Geographic (2011-04-11). "Bacteria Grow Under 400,000 Times Earth's Gravity". National Geographic. Archived from the original on 2011-04-27. Retrieved 2024-09-05.
  149. ^ Deguchi, Shigeru; Shimoshige, Hirokazu; Tsudome, Mikiko; Mukai, Sada-atsu; Corkery, Robert W.; Ito, Susumu; Horikoshi, Koki (2011-05-10). "Microbial growth at hyperaccelerations up to 403,627 × g". Proceedings of the National Academy of Sciences. 108 (19): 7997–8002. Bibcode:2011PNAS..108.7997D. doi:10.1073/pnas.1018027108. ISSN 0027-8424. PMC 3093466. PMID 21518884.
  150. ^ Comment, Quoting The (2011-04-25). "Short Sharp Science: World's most powerful lasers get the green light". newscientist.com. Archived from the original on 2011-04-26. Retrieved 2024-09-05.
  151. ^ Adams, Stephen (2011-05-03). "Breast cancer gene discovery 'like finding gold'". telegraph.co.uk. Archived from the original on 2011-05-04. Retrieved 2025-01-04.
  152. ^ Dunbier, Anita K.; Anderson, Helen; Ghazoui, Zara; Lopez-Knowles, Elena; Pancholi, Sunil; Ribas, Ricardo; Drury, Suzanne; Sidhu, Kally; Leary, Alexandra; Martin, Lesley-Ann; Dowsett, Mitch (2011-04-28). "ESR1 Is Co-Expressed with Closely Adjacent Uncharacterised Genes Spanning a Breast Cancer Susceptibility Locus at 6q25.1". PLOS Genetics. 7 (4): e1001382. doi:10.1371/journal.pgen.1001382. ISSN 1553-7404. PMC 3084198. PMID 21552322.
  153. ^ Rudolf, John Collins (2011-05-10). "Study Raises Doubts on Capturing Carbon Dioxide From Air". The New York Times. Retrieved 2024-09-05.
  154. ^ Socolow, Robert; Desmond, Michael; Aines, Roger; Blackstock, Jason; Bolland, Olav; Kaarsberg, Tina; Lewis, Nathan; Mazzotti, Marco; Pfeffer, Allen; Sawyer, Karma; Siirola, Jeffrey; Smit, Berend; Wilcox, Jennifer (2011-04-15). "Direct Air Capture of CO2 with Chemicals" (PDF). American Physical Society Panel on Public Affairs Reports. Archived (PDF) from the original on 2024-11-16. Retrieved 2025-01-12.
  155. ^ Specht, Holger P.; Nölleke, Christian; Reiserer, Andreas; et al. (2011). "A single-atom quantum memory". Nature. 473 (7346): 190–193. arXiv:1103.1528. Bibcode:2011Natur.473..190S. doi:10.1038/nature09997. ISSN 0028-0836. PMID 21532588.
  156. ^ Lolla, T; Cola, G; Narayanan, B; Alexandrov, B; Babu, S S (2011). "Development of rapid heating and cooling (flash processing) process to produce advanced high strength steel microstructures". Materials Science and Technology. 27 (5): 863–875. Bibcode:2011MatST..27..863L. doi:10.1179/174328409X433813. ISSN 0267-0836.
  157. ^ Gallagher, James (2011-05-03). "Being overweight 'linked to dementia'". BBC News. Retrieved 2025-01-04.
  158. ^ Xu, W.L.; Atti, A.R.; Gatz, M.; et al. (2011-05-03). "Midlife overweight and obesity increase late-life dementia risk: A population-based twin study". Neurology. 76 (18): 1568–1574. doi:10.1212/WNL.0b013e3182190d09. ISSN 0028-3878. PMC 3100125. PMID 21536637.
  159. ^ Kar, Upendra K.; Srivastava, Minu K.; Andersson, Åsa; et al. (2011-05-03). "Novel CCL21-Vault Nanocapsule Intratumoral Delivery Inhibits Lung Cancer Growth". PLOS ONE. 6 (5): e18758. Bibcode:2011PLoSO...618758K. doi:10.1371/journal.pone.0018758. ISSN 1932-6203. PMC 3086906. PMID 21559281.
  160. ^ Hagan, Kate (2011-05-06). "Fresh hope in the fight against HIV". The Sydney Morning Herald. Retrieved 2025-01-04.
  161. ^ Chung, Amy W.; Isitman, Gamze; Navis, Marjon; et al. (2011-05-03). "Immune escape from HIV-specific antibody-dependent cellular cytotoxicity (ADCC) pressure". Proceedings of the National Academy of Sciences. 108 (18): 7505–7510. Bibcode:2011PNAS..108.7505C. doi:10.1073/pnas.1016048108. ISSN 0027-8424. PMC 3088575. PMID 21502492.
  162. ^ Keim, Brandon (2011-06-13). "Ancient Fossils Have Evolution's First Shells". wired.com. Archived from the original on 2011-06-15. Retrieved 2025-01-04.
  163. ^ Cohen, Phoebe A.; Schopf, J. William; Butterfield, Nicholas J.; Kudryavtsev, Anatoliy B.; Macdonald, Francis A. (2011). "Phosphate biomineralization in mid-Neoproterozoic protists". Geology. 39 (6): 539–542. Bibcode:2011Geo....39..539C. doi:10.1130/G31833.1. ISSN 1943-2682.
  164. ^ Amos, Jonathan (2011-05-04). "Gravity Probe B confirms Einstein effects". BBC News. Retrieved 2025-01-04.
  165. ^ Everitt, C. W. F.; DeBra, D. B.; Parkinson, B. W.; et al. (2011-05-31). "Gravity Probe B: Final Results of a Space Experiment to Test General Relativity". Physical Review Letters. 106 (22): 221101. arXiv:1105.3456. Bibcode:2011PhRvL.106v1101E. doi:10.1103/PhysRevLett.106.221101. ISSN 0031-9007. PMID 21702590.
  166. ^ The ALPHA Collaboration (2011). "Confinement of antihydrogen for 1,000 seconds". Nature Physics. 7 (7): 558–564. arXiv:1104.4982. doi:10.1038/nphys2025. ISSN 1745-2473.
  167. ^ "Intel unveils 22nm 3D Ivy Bridge processor". BBC News. 2011-05-04. Retrieved 2025-01-04.
  168. ^ "Intel Newsroom: News Stories: Intel Reinvents Transistors Using New 3-D Structure". newsroom.intel.com. 2011-05-04. Archived from the original on 2011-05-07. Retrieved 2025-01-04.
  169. ^ "Why Our Brains Gradually Lose Memory with Age". Times of India.
  170. ^ Encinas, Juan M.; Michurina, Tatyana V.; Peunova, Natalia; et al. (2011). "Division-Coupled Astrocytic Differentiation and Age-Related Depletion of Neural Stem Cells in the Adult Hippocampus". Cell Stem Cell. 8 (5): 566–579. doi:10.1016/j.stem.2011.03.010. PMC 3286186. PMID 21549330. Retrieved 2025-01-04.
  171. ^ "Revolutionary new single-cell labelling method". www.rsc.org. Retrieved 2025-01-04.
  172. ^ Bendall, Sean C.; Simonds, Erin F.; Qiu, Peng; et al. (2011-05-06). "Single-Cell Mass Cytometry of Differential Immune and Drug Responses Across a Human Hematopoietic Continuum". Science. 332 (6030): 687–696. Bibcode:2011Sci...332..687B. doi:10.1126/science.1198704. ISSN 0036-8075. PMC 3273988. PMID 21551058.
  173. ^ "Mitochondrial proteins regulating human ageing 'identified'". The Economic Times. 2011-05-11. Retrieved 2025-01-04.
  174. ^ Caballero, Antonio; Ugidos, Ana; Liu, Beidong; et al. (2011). "Absence of Mitochondrial Translation Control Proteins Extends Life Span by Activating Sirtuin-Dependent Silencing". Molecular Cell. 42 (3): 390–400. doi:10.1016/j.molcel.2011.03.021. PMID 21549315. Retrieved 2025-01-04.
  175. ^ "Newsroom". news.alcoa.com. Retrieved 2025-01-04.
  176. ^ Koch, Wendy (2011-05-13). "Smog-eating aluminum panels launch for buildings". usatoday.com. Archived from the original on 2011-05-16. Retrieved 2025-01-04.
  177. ^ Woody, Todd (2011-05-09). "Alcoa's Self-Cleaning, Smog-Eating Buildings". Forbes. Retrieved 2025-01-04.
  178. ^ Ghosh, Pallab (2011-05-11). "'Missing link' fungi found in Devon pond". BBC News. Retrieved 2025-01-04.
  179. ^ Jones, Meredith D. M.; Forn, Irene; Gadelha, Catarina; Egan, Martin J.; Bass, David; Massana, Ramon; Richards, Thomas A. (2011). "Discovery of novel intermediate forms redefines the fungal tree of life". Nature. 474 (7350): 200–203. doi:10.1038/nature09984. ISSN 0028-0836. PMID 21562490.
  180. ^ Bowdler, Neil (2011-05-11). "Monkey HIV vaccine 'effective', say researchers". BBC News. Retrieved 2025-01-04.
  181. ^ Hansen, Scott G.; Ford, Julia C.; Lewis, Matthew S.; et al. (2011). "Profound early control of highly pathogenic SIV by an effector memory T-cell vaccine" (PDF). Nature. 473 (7348): 523–527. Bibcode:2011Natur.473..523H. doi:10.1038/nature10003. ISSN 0028-0836. PMC 3102768. PMID 21562493. Retrieved 2025-01-04.
  182. ^ Knapp, Alex (2011-05-17). "D-Wave Announces Commercially Available Quantum Computer". Forbes. Retrieved 2025-01-04.
  183. ^ Anthony, Sebastian (1994-12-01). "First Ever Commercial Quantum Computer Now Available for $10 Million". extremetech.com. Archived from the original on 2011-06-05. Retrieved 2025-01-04.
  184. ^ Geordie &raquo (2011-05-11). "Learning to program the D-Wave One « Hack the multiverse". dwave.wordpress.com. Archived from the original on 2011-05-16. Retrieved 2025-01-04.
  185. ^ Wordsworth, Robin D.; Forget, François; Selsis, Franck; et al. (2011-06-01). "Gliese 581D is the First Discovered Terrestrial-Mass Exoplanet in the Habitable Zone". The Astrophysical Journal. 733 (2): L48. arXiv:1105.1031. Bibcode:2011ApJ...733L..48W. doi:10.1088/2041-8205/733/2/L48. ISSN 2041-8205.
  186. ^ Coghlan, Andy (2011-05-13). "Stem cell setback as mice reject own tissue". New Scientist. Retrieved 2025-01-04.
  187. ^ Zhao, Tongbiao; Zhang, Zhen-Ning; Rong, Zhili; Xu, Yang (2011). "Immunogenicity of induced pluripotent stem cells" (PDF). Nature. 474 (7350): 212–215. doi:10.1038/nature10135. ISSN 0028-0836. PMID 21572395. Retrieved 2025-01-04.
  188. ^ University, Monash (2011-05-13). "Research breakthrough on male infertility". Medical Xpress. Retrieved 2025-01-04.
  189. ^ Innocenti, Paolo; Morrow, Edward H.; Dowling, Damian K. (2011-05-13). "Experimental Evidence Supports a Sex-Specific Selective Sieve in Mitochondrial Genome Evolution". Science. 332 (6031): 845–848. Bibcode:2011Sci...332..845I. doi:10.1126/science.1201157. ISSN 0036-8075. PMID 21566193.
  190. ^ Li, Lu; Richter, C.; Paetel, S.; Kopp, T.; Mannhart, J.; Ashoori, R. C. (2011-05-13). "Very Large Capacitance Enhancement in a Two-Dimensional Electron System". Science. 332 (6031): 825–828. arXiv:1006.2847. Bibcode:2011Sci...332..825L. doi:10.1126/science.1204168. ISSN 0036-8075. PMID 21566188.
  191. ^ Moskvitch, Katia (2011-06-24). "'Super sand' to help clean up dirty drinking water". BBC News. Retrieved 2025-01-04.
  192. ^ Gao, Wei; Majumder, Mainak; Alemany, Lawrence B.; et al. (2011-06-22). "Engineered Graphite Oxide Materials for Application in Water Purification". ACS Applied Materials & Interfaces. 3 (6): 1821–1826. doi:10.1021/am200300u. ISSN 1944-8244. PMID 21568266.
  193. ^ "Researchers discover 'master switch' gene for obesity, diabetes". Medical Xpress. 2011-05-15. Retrieved 2025-01-04.
  194. ^ the MuTHER Consortium (2011). "Identification of an imprinted master trans regulator at the KLF14 locus related to multiple metabolic phenotypes". Nature Genetics. 43 (6): 561–564. doi:10.1038/ng.833. ISSN 1061-4036. PMC 3192952. PMID 21572415.
  195. ^ Amos, Jonathan (2011-05-15). "Shuttle Endeavour launches one last time". BBC News. Retrieved 2025-01-04.
  196. ^ Fischer, Joachim; Ergin, Tolga; Wegener, Martin (2011-06-01). "Three-dimensional polarization-independent visible-frequency carpet invisibility cloak" (PDF). Optics Letters. 36 (11): 2059–2061. Bibcode:2011OptL...36.2059F. doi:10.1364/OL.36.002059. ISSN 0146-9592. PMID 21633448. Retrieved 2025-01-04.
  197. ^ Wall, Mike (2011-05-18). "Lonely Rogue Worlds Surprisingly Outnumber Planets with Suns". Space.com. Retrieved 2025-01-04.
  198. ^ The Microlensing Observations in Astrophysics (MOA) Collaboration; The Optical Gravitational Lensing Experiment (OGLE) Collaboration (2011-05-19). "Unbound or distant planetary mass population detected by gravitational microlensing". Nature. 473 (7347): 349–352. arXiv:1105.3544. Bibcode:2011Natur.473..349S. doi:10.1038/nature10092. ISSN 0028-0836. PMID 21593867.
  199. ^ Gallagher, James (2011-05-19). "Paralysed man can stand and move his legs again". BBC News. Retrieved 2025-01-04.
  200. ^ Harkema, Susan; Gerasimenko, Yury; Hodes, Jonathan; et al. (2011). "Effect of epidural stimulation of the lumbosacral spinal cord on voluntary movement, standing, and assisted stepping after motor complete paraplegia: a case study". The Lancet. 377 (9781): 1938–1947. doi:10.1016/S0140-6736(11)60547-3. PMC 3154251. PMID 21601270.
  201. ^ Nova, Chris (2011-06-09). "Scientists develop open-source genome analyzer". tgdaily.com. Archived from the original on 2011-06-11. Retrieved 2025-01-04.
  202. ^ Lajugie, Julien; Bouhassira, Eric E. (2011-07-15). "GenPlay, a multipurpose genome analyzer and browser" (PDF). Bioinformatics. 27 (14): 1889–1893. doi:10.1093/bioinformatics/btr309. ISSN 1367-4803. PMID 21596789. Retrieved 2025-01-04.
  203. ^ Gill, Victoria (2011-05-20). "Smell key to big brain evolution". bbc.co.uk. Archived from the original on 2011-05-22. Retrieved 2025-01-04.
  204. ^ Callaway, Ewen (2011-05-19). "Mammalian brain followed a scented evolutionary trail". Nature. doi:10.1038/news.2011.302. ISSN 0028-0836.
  205. ^ Rowe, Timothy B.; Macrini, Thomas E.; Luo, Zhe-Xi (2011-05-20). "Fossil Evidence on Origin of the Mammalian Brain". Science. 332 (6032): 955–957. Bibcode:2011Sci...332..955R. doi:10.1126/science.1203117. ISSN 0036-8075. PMID 21596988.
  206. ^ Palmer, Jason (2011-05-22). "Laser puts record data rate through fibre". BBC News. Retrieved 2025-01-04.
  207. ^ Hillerkuss, D.; Schmogrow, R.; Schellinger, T.; et al. (2011). "26 Tbit s−1 line-rate super-channel transmission utilizing all-optical fast Fourier transform processing". Nature Photonics. 5 (6): 364–371. doi:10.1038/nphoton.2011.74. ISSN 1749-4885.
  208. ^ "Bacteria 'linked' to Parkinson's disease". BBC News. 2011-05-22. Retrieved 2025-01-04.
  209. ^ Sliwa, Jim (2011-07-22). "Bacteria may cause Parkinson's disease". gm.asm.org. Archived from the original on 2011-06-13. Retrieved 2025-01-04.
  210. ^ "Densest Matter Created in Big-Bang Machine". news.nationalgeographic.com. 2011-05-11. Archived from the original on 2011-05-25. Retrieved 2025-01-04.
  211. ^ Amos, Jonathan (2011-05-25). "Cosmic distance record 'broken'". BBC News. Retrieved 2025-01-04.
  212. ^ Cucchiara, A.; Levan, A. J.; Fox, D. B.; et al. (2011-07-20). "A PHOTOMETRIC REDSHIFT OF z ∼ 9.4 FOR GRB 090429B". The Astrophysical Journal. 736 (1): 7. arXiv:1105.4915. Bibcode:2011ApJ...736....7C. doi:10.1088/0004-637X/736/1/7. ISSN 0004-637X.
  213. ^ Khan, Amina (2011-05-25). "Spirit's Mars mission comes to a close". Los Angeles Times. Retrieved 2025-01-04.
  214. ^ Callas, John (2011-07-15). "NASA Jet Propulsion Laboratory » Blog Archive » A Heartfelt Goodbye to a Spirited Mars Rover". blogs.jpl.nasa.gov. Archived from the original on 2011-05-28. Retrieved 2025-01-04.
  215. ^ Choi, Charles Q. (2011-05-27). "Scientists fool people into thinking they're tiny or giant". NBC News. Retrieved 2025-01-04.
  216. ^ van der Hoort, Björn; Guterstam, Arvid; Ehrsson, H. Henrik (2011-05-25). "Being Barbie: The Size of One's Own Body Determines the Perceived Size of the World". PLOS ONE. 6 (5): e20195. Bibcode:2011PLoSO...620195V. doi:10.1371/journal.pone.0020195. ISSN 1932-6203. PMC 3102093. PMID 21633503.
  217. ^ "Wayback Machine". Wayback Machine. 2011-05-26. Retrieved 2025-01-04.
  218. ^ Pang, Zhiping P.; Yang, Nan; Vierbuchen, Thomas; et al. (2011). "Induction of human neuronal cells by defined transcription factors". Nature. 476 (7359): 220–223. Bibcode:2011Natur.476..220P. doi:10.1038/nature10202. ISSN 0028-0836. PMC 3159048. PMID 21617644.
  219. ^ "First Observation of the Dynamical Casimir Effect". technologyreview.com. 2011-09-12. Archived from the original on 2011-05-28. Retrieved 2025-01-04.
  220. ^ Gray, Richard (2011-06-19). "Pigs could grow human organs in stem cell breakthrough". telegraph.co.uk. Archived from the original on 2011-06-21. Retrieved 2025-01-04.
  221. ^ Design, ISITE. "OASIS". CTI Meeting Technology. Retrieved 2025-01-04.
  222. ^ Yao, Xing-Can; Wang, Tian-Xiong; Xu, Ping; et al. (2012). "Observation of eight-photon entanglement". Nature Photonics. 6 (4): 225–228. arXiv:1105.6318. Bibcode:2012NaPho...6..225Y. doi:10.1038/nphoton.2011.354. ISSN 1749-4885.
  223. ^ Sorger, Volker J.; Ye, Ziliang; Oulton, Rupert F.; Wang, Yuan; Bartal, Guy; Yin, Xiaobo; Zhang, Xiang (2011-05-31). "Experimental demonstration of low-loss optical waveguiding at deep sub-wavelength scales" (PDF). Nature Communications. 2 (1): 331. Bibcode:2011NatCo...2..331S. doi:10.1038/ncomms1315. ISSN 2041-1723. Retrieved 2025-01-04.
  224. ^ Saatchi, Sassan S.; Harris, Nancy L.; Brown, Sandra; et al. (2011-06-14). "Benchmark map of forest carbon stocks in tropical regions across three continents" (PDF). Proceedings of the National Academy of Sciences. 108 (24): 9899–9904. Bibcode:2011PNAS..108.9899S. doi:10.1073/pnas.1019576108. ISSN 0027-8424. PMC 3116381. PMID 21628575. Retrieved 2025-01-04.
  225. ^ Wolchover, Natalie (2012-08-30). "'Mysterious' Baltic Sea Object Is a Glacial Deposit". Livescience.com. Retrieved 2020-01-25.
  226. ^ "Neptune Completes First Orbit Since Its Discovery in 1846". Space.com. 12 July 2011.
  227. ^ Callaway, Ewen (2011). "Report finds massive fraud at Dutch universities". Nature. 479 (7371): 15. Bibcode:2011Natur.479...15C. doi:10.1038/479015a. PMID 22051650. S2CID 205068182.
  228. ^ "Bionic contact lens 'to project emails before eyes'". BBC News. 2011-11-22. Retrieved 2023-02-16.
  229. ^ Kinnard, Christophe; Zdanowicz, Christian M.; Fisher, David A.; Isaksson, Elisabeth; De Vernal, Anne; Thompson, Lonnie G. (23 November 2011). "Reconstructed changes in Arctic sea ice over the past 1,450 years". Nature. 479 (7374): 509–512. Bibcode:2011Natur.479..509K. doi:10.1038/nature10581. PMID 22113692. S2CID 205226790.
  230. ^ a b "Nasa's Curiosity rover successfully lands on Mars". BBC. 6 August 2012.
  231. ^ Budin, Itay; Devaraj, Neal K. (December 29, 2011). "Membrane Assembly Driven by a Biomimetic Coupling Reaction". Journal of the American Chemical Society. 134 (2): 751–753. doi:10.1021/ja2076873. PMC 3262119. PMID 22239722.
  232. ^ Staff (January 26, 2012). "Chemists create artificial cell membrane". kurzweilai.net. Archived from the original on January 28, 2012. Retrieved February 18, 2012.
  233. ^ Dr. James J. Rahal, 77, Virus Expert, Dies
  234. ^ Rudiger 'Roger' Haugwitz, chemist who used science to create art, dies at 79. Washingtonpost.com. Retrieved on 2011-10-10.
  235. ^ Harold Kosasky, 83, pioneer in treatment of infertility. Boston Globe, 26 September 2011. Retrieved 2011-11-19.
  236. ^ Dr. Max Harry Weil dies at 84: pioneer in critical care. Articles.latimes.com (2011-08-06). Retrieved on 2011-10-10.
  237. ^ Dr. Charles C. Edwards, Influential F.D.A. Commissioner, Dies at 87
  238. ^ Fritz Bach, Who Aided Transplant Survival, Dies at 77
  239. ^ William Kannel, 87; force behind pioneering Framingham Heart Study. Boston.com (2011-09-18). Retrieved on 2011-10-10.
  240. ^ W. B. Kannel, Who Led Historic Heart Study, Dies at 87. Nytimes.com (2011-08-23). Retrieved on 2011-10-10.
  241. ^ Dr. William Wolff, Colonoscopy Co-Developer, Dies at 94
  242. ^ Bruce Dan, Who Helped Link Toxic Shock and Tampons, Is Dead at 64. The New York Times, 10 September 2011. Retrieved 2011-11-03.
  243. ^ Dr. Richard Koch dies at 89; medical pioneer. Los Angeles Times, 8 October 2011. Retrieved 2011-11-03.
  244. ^ Dr. J. Willis Hurst, Cardiologist to Lyndon B. Johnson, Dies at 90
  245. ^ Morris Chafetz, 87, Dies; Altered View of Alcoholism
  246. ^ Dr. John F. Burke, Dies at 89; Created Synthetic Skin
  247. ^ "T. Franklin Williams, Early Geriatric Specialist, Dies at 90". The New York Times, 3 December 2011. Retrieved 2011-12-08.