Pathology/Heart
Navigation
Main Page | Introduction in Pathology | Adjustment Reactions | Cell and Tissue Damage | Exogenic Noxa
Procedures of Tissue Preparation | Glossary | Resources |
Angeborene Fehlbildungen des Herzens
Ep.: 1:100 Neugeborene
Azyanotische Vitien
Herzfehler mit Links-rechts-Shunt ohne Zyanose und hyperkinetisch bedingter pulmonaler Hypertonie und Überdurchblutung der Lunge.
Patent ductus arteriosus (PDA)
Der physiologische Verschluss nach der Geburt unterbleibt.
Folge: Kontinuierlicher (Windkessel!) Links-rechts-Shunt
![]() |
Atrial septal defect (ASD)
ASD I:
Es gibt zwei verschiedene ASDs, die sich aus der Embryologie erklären. Am Anfang sind beide Vorhöfe über das Foramen primum offen verbunden. Das Septum primum wächst von oben Richtung Herzskelett (Klappenebene) herunter und fusioniert dort mit einem Endokardkissen. Eine Störung dieser Fusion führt direkt über den Klappen zum offen Foramen primum, das in seiner vollen Ausprägung dem Atrioventrikulären Septumdefekt (AVSD) entspricht. Einen partieller AVSD (PAVSD) nennt man auch ASD I. Diese Fehlbildung ist häufig bei Trisomie 21 anzutreffen. Die Fehlbildung ist mit weiteren Störungen assoziiert, z.B. Reizleitungsstörungen durch Fehlentwicklung des Reizleitungssystems und einem fehlenden Sprung zwischen Mitral- und Trikuspidalebene.
ASD II:
Das heruntergewachsene Septum primum reisst normalerweise in der Mitte ein und bildet das Foramen secundum bzw. Foramen ovale. Dieses wird durch das links vom Septum primum ebenfalls von oben herunterwachsende Septum secundum gardinenartig bedeckt (Ventil) und kurz nach der Geburt durch Umkehr der Druckverhältnisse funktionell (z.T. strukturell durch Verklebung) verschlossen. Ist der Verschluss so ungenügend, dass es zum Links-rechts-Shunt kommt, spricht man vom offenen Foramen ovale bzw. ASD II. Der ASD II ist im Ggs. zum ASD I weiter oben lokalisiert. Er macht oft wenig Symptome und wird oft erst im Erwachsenenalter erkannt. Der Links-Rechts-Shunt kann im EKG zu Zeichen der Rechtsherzbelastung führen (Rechtslagetyp, P pulmonale, inkompletter Rechtsschenkelblock ohne Hypertrophie-Zeichen (rsr's') als Zeichen der rechtsventrikulären Volumenbelastung) und bei starker Ausprägung zu klinischen Symptomen führen.
Ventricular septal defect (VSD)
Makro: Loch im Kammerseptum, meist im membranösen Teil.
Folge: Links-rechts-Shunt
![]() |
Truncus arteriosus
Ep.: Selten
Makro: Fehlende Trennung von Aorta und A. pulmonalis, oft 4-segelige Taschenklappe.
Atrioventrikulärer Kanal (AVSD)
Makro: Partielles Fehlen von Vorhof- und Ventrikelwand (siehe ASD I).
Zyanotische Vitien
Herzfehler mit Rechts-links-Shunt und dadurch Ausbildung einer Zyanose
Tetralogy of Fallot
Die Fallotsche Tetralogie ist ein komplexer Herzfehler mit einer
- Pulmonalstenose, genauer gesagt mit einer Hypoplasie des rechtsventrikulären Ausflusstraktes (die auch entscheidend für die klinischen Symptome ist), einer
- Rechtsherzhypertrophie als Folge der Stenose, einem
- Subaortalen (nicht perimembranösen) Ventrikelseptumdefekt und der
- „Reitenden Aorta“. Letzteres meint, dass der Anfangsteil der Aorta nicht wie üblich links neben dem Septums liegt, sondern nach rechts-vorne direkt über das Septum bzw. hier über den VSD verschoben ist.
Klinik: Die Zyanose tritt erst einige Wochen nach der Geburt auf, da die Lunge pränatal kaum durchblutet ist und der rechte Ventrikel erst nach der Geburt belastet wird und hypertrophiert. Die Hypertrophie verstärkt im circulus vitiosus zunehmend die muskuläre Obstruktion des rechtsventrikulären Ausflusstraktes. Die Klinik der Obstruktion tritt dabei anfallsartig in Form „hypoxämischer Anfälle“ auf. Wenn unbehandelt, nimmt das Kind später im Anfall automatisch eine typische Hockstellung ein, um den venösen Rückfluss zu hemmen und das Herz zu entlasten. Auskultatorisch fällt das pulmonale Stenosegeräusch auf. Der VSD erzeugt wegen dem Druckausgleich zwischen linker und rechter Kammer kaum Turbulenzen und ist daher kaum zu hören.
Transposition of great vessels (TGA)
Makro: Die Aorta ist - inklusive der Koronarien - mit dem rechten, die Pulmonalis mit dem linken Ventrikel verbunden. Die Kreisläufe sind nicht seriell sondern parallel geschaltet. Die periphere Sauerstoffversorgung kann sich nach der Geburt sehr rasch und lebensbedrohlich verschlechtern durch Verschluss der embryonalen Kurzschlüsse (Foramen ovale, Ductus arteriosus BOTALLI).
Klinik: Hyperaktives Präkordium, Zyanose
Sonstige Vitien
Pulmonalstenose / Pulmonalatresie
Makro: Verengung des pulmonalen Ausflusstraktes. Bei relevanter Druckbelastung entwickelt sich eine Rechtsherzhypertrophie.
Aortenstenose
Makro: Sub-, supra- oder valvuläre Stenose der Aorta aszendens. Folge ist eine Linksherzhypertrophie durch Druckbelastung.
Coarctation of aorta
Makro: Es handelt sich um eine hinter dem Abgang der linken A. subclavia gelegene Verengung der Aorta.
Es gibt zwei Formen:
- Die proximale, präduktale (supraduktale) oder infantile Form, die vor dem Ductus arteriosus gelegen ist (95 % der Fälle). Das Blut fließt von der A. pulmonalis über den offenen Ductus in die Aorta deszendens und führt zur Zyanose der unteren Körperhälfte (Differentialzyanose).
- Die distale, postduktale (infraduktale) oder adulte Form, die hinter dem Ductus arteriosus liegt (5 % der Fälle) geht mit einem geschlossenen Ductus arteriosus einher. Folgen sind Bluthochdruck in der oberen Körperhälfte mit Linksherzhypertrophie und Aortendilatation, sowie die Ausbildung eines Umgehungskreislaufs (Aa. thoracicae internae, Aa. intercostales, Ae. epigastricae)
Klinik der infantilen Form: Die Kinder sind bei Geburt typischerweise "gesund" (und passieren oft auch unbemerkt die U2), da die Stenose durch den offenen Ductus arteriosus umgangen wird und auskultatorisch kaum etwas zu hören ist. Die Femoralispulse sind allerdings häufig schon abgeschwächt und ihre Palpation ist die wichtigste diagnostische Maßnahme! Nach etwa 10 bis 14 Tagen entwickeln die Kinder durch den Verschluß des Ductus arteriosus unspezifische Symptome der Linksherzinsuffizienz wie Tachypnoe, Gewichtszunahme (kaum sicht- oder hörbare Ödeme) und Symptome der peripheren Minderperfusion wie Oligurie/Anurie, Trinkschwäche, Verlängerung der Rekapillarisierungszeit, kühle untere Extremitäten. Die Kinder können dann sehr rasch am - im Grunde vermeidbaren - Herzversagen sterben. In diesem Stadium erkannte Kinder müssen sofort notfallmässig behandelt werden, um sie zu retten.
Hypoplastic left heart syndrome
Makro: Hypotrophie des linken Herzens, defekte Mitral- und Aortenklappe
Total anomalous pulmonary venous return (TAPVR)
Makro: Die Pulmonalvenen erreichen nicht das linke Atrium, sondern die Portalvene (Pulmonalvene -> Portalvene -> Leber -> V. cava inferior -> rechter Vorhof -> Foramen ovale und Ductus Botalli -> Körperkreislauf -> Lunge) oder den Sinus coronarius.
EBSTEIN-Anomalie
Makro: Atrialisierter Ventrikel (tiefsitzende Trikuspidalklappen), Trikuspidaldefekt.
Erworbene Herzfehler
Erworbene Aortenstenose
Ät.: Degenerativ, rheumatisch
Makro: Die Taschenklappen sind plump verdickt, verkalkt und fusioniert. Die Querschnittsfläche ist verkleinert (< 2,5 cm²).
Klinik: Leistungsminderung, Belastungsdyspnoe, Synkopen, Schwindel.
Kompl.: Bakterielle Endokarditis, KHK (konzentrische Druckhypertrophie des Myokards mit relativer Koronarinsuffizienz), Linksherzinsuffizienz (-> Lungenstauung, Lungenödem),.
![]() |
Mitralstenose
Klinik: Leistungsminderung durch die diastolische Füllungsstörung mit Reduktion des Herzzeitvolumens (HZV), Belastungsdyspnoe, spät: Facies mitralis („rote Bäckchen“), periphere Zyanose, Zeichen der Rechtsherzinsuffizienz, Tachyarrhythmia absoluta bei Vorhofflimmern.
Kompl.: Vorhofdilatation mit Vorhofflimmern und evtl. Vorhofthrombose und Embolie, Rückstau in die Lunge (Lungenstauung, Lungenödem) und ggf. bis in den großen Kreislauf (pulmonale Hypertonie, Rechtsherzbelastung/Cor pulmonale, Rechtsherzinsuffizienz), bakterielle Endokarditis.
![]() |
Myocardial infarction
Ät.: Aufbrechen und/oder Thrombosierung einer arteriosklerotischen Plaque in einer Coronararterie, selten thrombembolischer Verschluß.
Acute myocardial infarction
Der Myokardinfarkt muss mind. 6 - 12 Stunden überlebt werden, bevor er morphologisch sichtbar wird!
Mikro: Koagulationsnekrose, Einblutungen. Die Myozyten zeigen eine verstärkte Eosinophilie und Kontraktionsbanden quer durch die Herzmuskelfasern. Typische Zellparameter wie Querstreifung, Zellkerne und Zellgrenzen gehen verloren. Das Infarktareal wird von einer Hyperämischen/hämorrhagischen Randzone begrenzt. Im Verlauf zunehmende leukozytäre Demarkation und Phagozytose des nekrotischen Gewebes, sowie Einwanderung von Fibroblasten mit Ausbildung eines narbigen Ersatzgewebes.
Makro: Lehmfarbene Abblassung mit hyperämischem/hämorrhagischem Randsaum.
Kompl.: Herzwandruptur mit Perikardtamponade (i.d.R. zwischen dem 3. und 10. Tag), Herzwandaneurysma, Papillarmuskelnekrose mit Sehnenfadenabriß, Herzrhythmusstörungen, Re-Infarkt, Herzinsuffizienz.
Labor: Positives Troponin T (Schnelltest!), EKG: Anstieg der T-Welle, dann der ST-Strecke.
![]() |
Old myocardial infarction
Mikro: Bindegewebige Narben, Fibrozyten mit z.T. großen ovalen Zellkernen. Kompensatorische Hypertrophie der umgebenden Myozyten. Gute Darstellung in der EVG-Färbung: Herzmuskel grau, Narbe violett.
Makro: Fibrosiertes Areal mit Lipomatosis cordis.
EKG: Negative Q-Zacke
Endokarditis
Entzündung der Herzinnenwand und Herzklappen.
Infective Endocarditis
Ät.: Endothelschaden + Thrombozytenaggregate + Bakteriämie
RF.: Kardial: Implantate, Herzfehler (-> Jet-Läsionen), Z.n. rheumatischer Endokarditis, Klappenfehler u.a.m., systemisch: Diabetes mellitus, Alkoholabusus, Leberzirrhose, Immundefizite, Hypertonus.
Lok.: Meist sind die mechanisch stärker belasteten Klappen des linken Herzens betroffen
Endocarditis ulcero-polyposa
Ät.: Eindringen von Bakterien (Pilzen) in die Blutbahn
Erreger: Staphylococcus aureus, Streptokokken, Gonokokken, Enterokokken, Pilze
Mikro: Fibrin, Plättchen, Bakterienkolonien, Immunzellen
Makro: Große, rötliche, unregelmäßige, brüchige, ulzerierende, polypöse Vegetationen an den Klappen, Ausbreitungstendenz und Klappendestruktion, Splitterhämorrhagien an den Nägeln (septische Mikroembolien).
Kompl.: Sehnenfadenabriß, Klappeninsuffizienz, septische Embolie, z.B. in Herz, Niere und Gehirn (Metastatische Herdenzephalitis), mykotisches Aneurysma (metastatische Absiedelung -> Zerstörung der Gefäßwand -> Aussackung), Immunkomplexvaskultis (Niere: LÖHLEIN-Herdnephritis, Haut: OSLER-Knötchen).
Klinik: Fieber, kutane und konjunktivale petechiale Blutungen, Janeway-Läsionen (palmare/plantare indolente makulöse Hautläsionen), schmerzhafte OSLER-Knötchen palmar/plantar oder an den Fingerkuppen. Mikroembolien an den Akren oder auch subungual (Splitterhämorrhagien). Pathologisches Herzgeräusch (nicht selten das erste Symptom!). Im Verlauf Symptome durch Klappeninsuffizienz, Sehnenfadenabriß, septische Komplikationen.
Prg.: Abh. von der Größe der Vegetationen und dem Erreger (Streptokokken günstiger, Enterokokken ungünstiger, Staphylokokken noch ungünstiger).
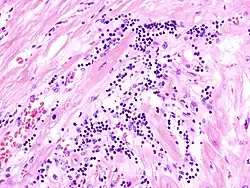
Endocarditis lenta
Erreger: Streptococcus viridans-Gruppe (Zahnschäden, Parodontitis!), Enterokokken, Cardiobacterium hominis
RF: Ansiedelung auf vorgeschädigten Herzklappen
Verlauf: oft subklinisch, da Erreger weniger virulent
Morph.: ähnlich der akuten Form
| thumb|Subakute Endokarditis durch Haemophilus parainfluenzae. |
Isolierte Rechtsherzendokarditis
Ät.: Häufig bei i.v.-Drogenabusus
Non-infective Endocarditis
Non-bacterial thrombotic endocarditis (NBTE)
Syn.: Endocarditis verrucosa simplex, Endocarditis marantica
Ät.: Chronische, aufzehrende Erkrankungen, Hyperkoagulabilität, DIC, Schock, paraneoplastisch.
Makro: kleine (meist < 5 mm), rosa, wärzchenförmige Vegetationen an den Schließungsrändern der Aorten- und Mitralklappe.
Endocarditis verrucosa rheumatica
Ät.: Rheumatisches Fieber nach Infekt mit ß-hämolysierenden Streptokokken (Angina tonsillaris, Impetigo)
Makro: 1 - 3 mm kleine, entlang des Klappenschließungsrandes fest haftende Wärzchen, ASCHOFF-Knötchen, immer Pankarditis.
Kompl.: Klappenvitium, z.B. Mitralklappeninsuffizienz
![]() |
Libman-Sacks endocarditis
Ät.: Systemischer Lupus erythematodes (SLE)
Makro: Flache, blasse, spreitende Vegetationen auf Klappen, Endokard und Chordae tendineae.
Myokarditis
Infektiöse Myokarditis
Bakterielle Myokarditis
Mikro: Zentral Bakterienkolonien in der Kapillare umsäumt von Immunozyten.
Makro: Kleine, gelbe, punktförmige Mikroabszesse.
Virale Myokarditis
Ät.: Coxsackie-, ECHO-, Adenoviren, Influenzaviren
Pathogenese: Herzmuskelnekrose durch Virus und T-Zell-vermittelte Immunreaktion.
Mikro: Interstitielles lymphozytäres Infiltrat (kleine blaue Zellen), kaum Nekrosen.
Parasitäre Myokarditis
Ät.: Trypanosoma cruzi (Protozoon, CHAGAS-Krankheit)
Begleitmyokarditis
2-3 Wochen nach Infektion (Tonsillitis, Tbc, Diphterie), der betreffende Erreger ist nicht nachweisbar.
Immunpathologische Myokarditis
Ät.: Rheumatisches Fieber, infektallergisch, i.R. systemischer Viruserkrankungen.
Mikro: Granulomatöse Entzündung, ASCHOFF Knötchen perivasal (ASCHOFF Riesenzellen: Große, ein- oder mehrkernige Zellen mit prominenten Nukleolen), ANITSCHKOW Myozyten: Lange dünne Zelle mit elongiertem Kern.
DRESSLER-Myokarditis
Syn.: Postmyokardinfarkt-Syndrom
Ät.: Wahrscheinlich Autoimmunreaktion durch Freisetzung von Antigen.
Klinik: Tage bis Wochen nach Infarkt Fieber, Brustschmerzen, abakterielle Myokarditis, Perikarditis und Pleuritis.
SF: Post-Kardiotomie-Syndrom
Perikarditis
pericarditis
Serous pericarditis
Mikro: Kaum Entzündung, kein Fibrin, wenige Immunzellen
Makro: Seröses Exsudat
Fibrinous pericarditis
Ät.: Urämie, Myokardinfarkt, akute rheumatische Carditis
Mikro: Fibrin, Entzündung
Makro: Fibrinstränge von Epi- zu Perikard, Epikard rauh und trüb, bread-and-butter-Phänomen
Hemorrhagic pericarditis
Wie fibrinöse Perikarditis mit Einblutung.
Purulent pericarditis
Mikro: Massenhaft Granulozyten, ggf. Bakterien
Makro: Eitrige, gelbliche Flüssigkeit im Perikard
Hemopericardium
Ät.: Transmuraler Herzinfarkt, perforiertes Herzwandaneurysma, Aortendissektion.
Makro: Das Perikard ist mit Blut gefüllt.
Klinik: Abruptes Herzversagen im obstruktiven Schock.
Myokard-Hypertrophie
Zunahme der Herzmuskelmasse durch Zunahme der Zellgröße und der kontraktilen Elemente. Das kritische Herzgewicht beträgt abhängig von der Koronarreserve etwa 500 g.
Konzentrische Myokardhypertrophie
Hypertrophie mit konstant bleibendem Herzinnenvolumen.
Ät.: Druckbelastung
Makro: Das Myokard ist verdickt (normal 8-11mm 1cm unterhalb der Klappenebene), das Volumen vermindert, im Querschnitt ähnelt das Herz einem gotischen Bogen.
Kompl.: Erreichen des kritischen Herzgewichts -> Ischämie des Herzmuskels
Exzentrische Myokardhypertrophie
Muskelhypertrophie mit Zunahme des Herzinnenvolumens.
Ät.: Volumenbelastung
Makro: Das Myokard ist verdickt, alle 4 Kammern sind dilatiert, das Herz ist globoid abgerundet und ähnelt einem römischen Bogen. Die Konsistenz ist weich und gummiartig.
Kompl.: Gefügedilatation -> Herzinsuffizienz
![]() |
Cor pulmonale, chronisch
Hypertrophie des rechten Herzens
Ät.:
- Hyperkinetisch: kardialer Links-Rechts-Shunt -> Volumenbelastung des rechten Herzens
- Präkapillär-vasooklusiv: bei morphologischer oder funktioneller Verkleinerung der Lungenstrombahn: Lungenfibrose, COPD (Euler-Liljestrand-Reflex), primäre pulmonale Hypertonie, rezidivierende Lungenembolien u.a.m. -> Druckbelastung des rechten Herzens.
- Passiv postkapillär: Mitralstenose, chronische Linksherzinsuffizienz -> Druckbelastung des rechten Herzens und Lungenstauung.
Makro: Die Wand des rechten Ventrikels ist verdickt (normal sind 2-4 mm Wandicke 1 cm unterhalb der Klappenebene).
Kardiomyopathien
Herzmuskelerkrankungen, die nicht durch mechanische Überlastung oder KHK verursacht sind. Ausgeschlossen werden müssen: KHK, mechanische Herzbelastung (z.B. Aorteklappenstenose, Mitralklappeninsuffizienz), arterielle Hypertonie und Myokarditis.
Formen der Kardiomyopathie:
- DCM - Dilated cardiomyopathy
- Hypertrophic cardiomyopathy
- Obstructive (HOCM) - z.T. familiär (autosomal-dominant) mit Risiko des plötzlichen Herztodes. Das hypertrophierte Kammerseptum formt einen Muskelwulst, der in der Systole den aortalen Ausflußtrakt verengt.
- Non-obstructive (HNCM)
- Restrictive cardiomyopathy (RCM)
- Arrythmogene rechtsventrikuläre Kardiomyopathie (ARVCM)
Tumore des Herzens
Rhabdomyoma
Primärer Herztumor, selten
Makro: Große, solide, weiße Tumormasse.
Atrial myxoma
Häufigster primärer Herztumor, benigne.
Makro: Runder, ballförmiger, an der Herzinnenwand des Atrium, seltener des Ventrikels oder an einer Klappe haftender Tumor. Dieser kann embolisieren oder den Blutfluß behindern.
Mikro: Leeres, sehr zellarmes, myxoides Stroma mit spindeligen Zellen.
Metastases
Makro: Blasse, weißliche Knoten
Navigation
Main Page | Introduction in Pathology | Adjustment Reactions | Cell and Tissue Damage | Exogenic Noxa
Procedures of Tissue Preparation | Glossary | Resources |
.jpg)





