Online OsiriX Documentation/Multi-planar reconstruction (MPR)
OsiriX supports fours different MPR modes: 2D MPR, 2D Curved-MPR, 2D Orthogonal MPR, and 3D Orthogonal MPR. Curved MPR is discussed elsewhere in this manual.
a) 2D MPR

The 2D MPR window
This 2D MPR Viewer allows generating a MPR slice in any position and orientation through the 3D volume. This mode shows three viewing ports. In the picture above, the two on the left are labeled A and B. The third, on the right, is labeled C.
The primary purpose of the A and B view ports is to specify the plane that will be shown in the C view port. The A and B view ports are partially obscured by lines used specify the plane to be seen in C. These lines cannot be hidden. In this sense, the C view port is designed for diagnostic viewing and the other two view ports are primarily to specify what is to be shown in C. The view ports are not all equal, which may be different from what users of other MPR interfaces are expecting. View port A shows a blue line which corresponds to the orientation of what is being seen in C and also contains a red line that corresponds to what is seen in B. View port B shows only a blue line that also corresponds to what is seen in C. View port C has no lines.
The specifying view port A will show the original images in the plane that they were originally acquired, most commonly the axial plane. You can scroll through these images to choose the one that you want to work off. The specifying view port B shows planes that are orthogonal to view port A. If A is showing an axial image then on initially opening the 2D MPR Viewer, B will show a sagittal image. The specific orthogonal plane that is being created in B is indicated in the A view port as a red line. Under these initial circumstances, C will be showing a coronal reconstruction that corresponds to the blue line.
If you are interested in seeing a sagittal image, one can simply look at the B view port but this is not really what a specifying view port is for. The specifying view ports are smaller and obscured by lines. To see a clean sagittal image, you want to grab the blue line in view port A and swing it 90 degrees. At this point, the C view port will show a sagittal image. The red line, indicating the plane of view port B, will maintain itself perpendicular to the blue line. This line, indicating the orientation of view port B, will now be documenting the coronal plane that is visible in B. You cannot grab the red line to do this rotation. Only the blue line can be grabbed. You can move the intersection of the two lines by grabbing within the red circle. This will center the point of rotation
Simply by using the A specifying view port, you can show any orthogonal plane between sagittal and coronal in the C diagnostic view port. However, to specify oblique planes requires the simultaneous use of view port B. When you specify an oblique plane, it requires that you look primarily at the blue line in B to understand what plane is being shown in C. It is possible, for example, to have the blue line in A completely outside the body part being shown in A and yet something is still being shown in C. Once you are looking at oblique planes, the blue line in A is of limited value in terms of understanding what you are looking at in C.
A common clinical scenario is to create an image that is at and parallel to a lumbar endplate in a lordotic spine. By grabbing the intersection point in A to place it over the spine and grabbing the blue line to rotate the red line into the desired sagittal plane, you can specify the sagittal view of the spine in view port B. In B, you can move the blue line so that it is oriented parallel to the endplate of interest. The desired image is now displayed in C.
A limitation of this interface is that you cannot specify a plane off of an oblique image. The specifying view ports, A and B, will not show an oblique image. So to deal with a more complicated scenario, such as creating a plane parallel to an endplate in a lordotic and scoliotic spine, requires a certain agility of mind in 3D visualization. For this case, you could rotate the blue line in A such that the red line goes through the highest and lowest points of that interspace. Then the B port will show you some sort of half sagittal half coronal image that you can use to orient B’s blue line to show the desired plane in C. One way or another, you can specify any plane in C.
Another limitation of the interface is that once you have established a plane for C, you cannot simply scroll (i.e. move back and forth through the volume showing planes parallel to the established plane). You can grab the red circle in B and move it to establish roughly the same functionality.
The zoom tool is useful to optimize the use of the space of the view ports. Moving the metallic bars that separate them can redistribute the area of the view ports. Finally, the rotation tool can be useful when the image in C is peculiarly oriented.
(This MPR mode is quite computationally intensive. It cannot pre-process images and all images are displayed with cubic interpolation.)
b) 2D Orthogonal MPR
This mode shows three orthogonal planes, the original data set the and the major two perpendiculars to it. Unlike the 2D MPR mode, all the view ports are equal and behave similarly. Green lines on each window show the location of the other two orthogonal planes. You can move the green indicator lines freely in any of the view ports. Zooming and windowing will affect all the ports simultaneously. A scroll wheel will work in any of the windows to move back and forth through the stack. If you are content to be viewing only the orthogonal planes, this mode is easier and more informative than the 2D MPR.
It is important to realize that hitting the space bar allows toggling through three states. The first state shows only the green lines, the second state adds intersecting hairlines to show the common point of the three view ports and the third state hides all the lines.
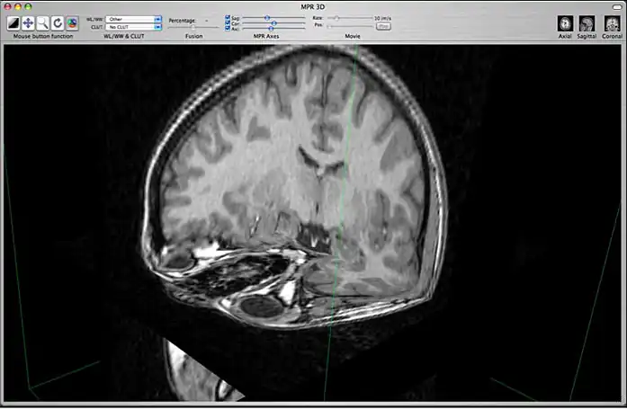
c) 3D Orthogonal MPR

3D orthogonal MPR mode
This mode allows you to display a 3D representation of the volume with 3D orthogonal MPR slices. You can change the position of the orthogonal slices by using the 3 sliders located in the toolbar:

Positions of orthogonal slices
Hide or show slices by clicking in the check boxes.